The FUCA2 Antibody (CAB12211) is a high-quality antibody developed for reliable detection and analysis of target proteins. This antibody, raised in rabbits, exhibits high specificity and sensitivity for detecting FUCA2 in human samples, particularly in Western blot applications.FUCA2 plays a crucial role in the breakdown of complex carbohydrates, specifically in the degradation of fucosylated glycoconjugates. Dysregulation of FUCA2 activity has been implicated in various metabolic disorders and diseases, making it a promising target for therapeutic interventions.
This antibody is validated for use in WB, IHC-P, ELISA applications and has demonstrated reactivity against Human, Mouse, Rat samples.
Product Name:
FUCA2 Antibody
SKU:
CAB12211
Size:
20μL, 100μL
Reactivity:
Human, Mouse, Rat
Conjugate:
Unconjugated
Immunogen:
Recombinant protein (or fragment).This information is considered to be commercially sensitive.
Recommended starting concentration is 1 μg/mL. Please optimize the concentration based on your specific assay requirements.
Synonyms:
dJ20N2.5, FUCA2
Positive Sample:
LO2, Mouse kidney, Mouse heart, Mouse stomach, Rat kidney, Rat heart
Cellular Localization:
Secreted.
Calculated MW:
54kDa
Observed MW:
45kDa
This gene encodes a plasma alpha-L-fucosidase, which represents 10-20% of the total cellular fucosidase activity. The protein is a member of the glycosyl hydrolase 29 family, and catalyzes the hydrolysis of the alpha-1,6-linked fucose joined to the reducing-end N-acetylglucosamine of the carbohydrate moieties of glycoproteins. This enzyme is essential for Helicobacter pylori adhesion to human gastric cancer cells.
Purification Method
Affinity purification
Gene ID
2519
RRID
AB_2759092
Buffer Information
Store at -20℃. Avoid freeze / thaw cycles. Buffer: PBS with 0.01% thimerosal,50% glycerol,pH7.3.
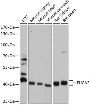
Western blot analysis of various lysates using FUCA2 Rabbit pAb (CAB12211) at 1:1000 dilution. Secondary antibody: HRP-conjugated Goat anti-Rabbit IgG (H+L) (CABS014) at 1:10000 dilution. Lysates/proteins: 25μg per lane. Blocking buffer: 3% nonfat dry milk in TBST. Detection: ECL Basic Kit (AbGn00020). Exposure time: 5s.
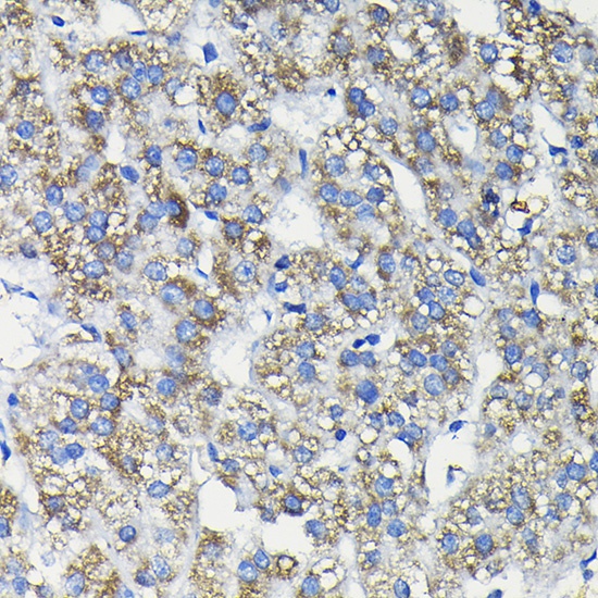
Immunohistochemistry analysis of paraffin-embedded Human liver cancer using FUCA2 Rabbit pAb (CAB12211) at dilution of 1:200 (40x lens). High pressure antigen retrieval performed with 0.01M Citrate buffer (pH 6.0) prior to IHC staining.