The GAA Antibody (CAB7674) is a high-quality antibody developed for reliable detection and analysis of target proteins. This antibody, generated in rabbits, demonstrates high reactivity with human samples and is validated for use in Western blot applications. It binds to the GAA protein, allowing for accurate detection and analysis in various cell types.GAA, also known as acid alpha-glucosidase, plays a crucial role in breaking down glycogen within lysosomes. Mutations in the GAA gene can lead to the accumulation of glycogen within cells, resulting in the development of Pompe disease.
This antibody is validated for use in WB, IF/ICC, ELISA applications and has demonstrated reactivity against Human, Mouse, Rat samples.
Product Name:
GAA Antibody
SKU:
CAB7674
Size:
20μL, 100μL
Reactivity:
Human, Mouse, Rat
Conjugate:
Unconjugated
Immunogen:
Synthetic peptide. This information is considered to be commercially sensitive.
Recommended starting concentration is 1 μg/mL. Please optimize the concentration based on your specific assay requirements.
Synonyms:
LYAG, GAA
Positive Sample:
DU145, Mouse liver, Mouse ovary, Mouse brain, Rat brain
Cellular Localization:
Lysosome, Lysosome Membrane.
Calculated MW:
105kDa
Observed MW:
105kDa
This gene encodes lysosomal alpha-glucosidase, which is essential for the degradation of glycogen to glucose in lysosomes. The encoded preproprotein is proteolytically processed to generate multiple intermediate forms and the mature form of the enzyme. Defects in this gene are the cause of glycogen storage disease II, also known as Pompe's disease, which is an autosomal recessive disorder with a broad clinical spectrum. Alternative splicing results in multiple transcript variants.
Purification Method
Affinity purification
Gene ID
2548
RRID
AB_2769551
Buffer Information
Store at -20℃. Avoid freeze / thaw cycles. Buffer: PBS containing 50% glycerol, preserved with proclin300 or sodium azide, pH 7.3.
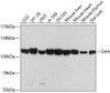
Western blot analysis of various lysates using GAA Rabbit pAb (CAB7674) at 1:1000 dilution. Secondary antibody: HRP-conjugated Goat anti-Rabbit IgG (H+L) (CABS014) at 1:10000 dilution. Lysates/proteins: 25μg per lane. Blocking buffer: 3% nonfat dry milk in TBST. Detection: ECL Basic Kit (AbGn00020). Exposure time: 60s.