The GALE Antibody (CAB6595) is a high-quality antibody developed for reliable detection and analysis of target proteins. This antibody is raised in rabbits and is highly reactive with human samples, making it ideal for use in a variety of research applications. The Gale protein has been implicated in immune regulation, specifically in inhibiting immune responses. By binding to the Gale protein, this antibody enables researchers to detect and analyze Gale in various cell types, providing crucial insights for studies in immunology and cancer research.In addition to its role in immune regulation, Gale has also been connected to modulating inflammation and allergic reactions, highlighting its potential importance in a variety of diseases such as cancer, autoimmune disorders, and chronic inflammatory conditions.
This antibody is validated for use in WB, IHC-P, ELISA applications and has demonstrated reactivity against Human, Mouse, Rat samples.
Product Name:
GALE Antibody
SKU:
CAB6595
Size:
20μL, 100μL
Reactivity:
Human, Mouse, Rat
Conjugate:
Unconjugated
Immunogen:
Recombinant protein (or fragment).This information is considered to be commercially sensitive.
Recommended starting concentration is 1 μg/mL. Please optimize the concentration based on your specific assay requirements.
Synonyms:
SDR1E1, GALE
Positive Sample:
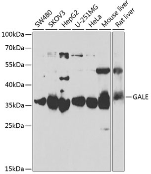
SW480, SKOV3, HepG2, U-251MG, HeLa, Mouse liver, Rat liver
Cellular Localization:
Cytosol.
Calculated MW:
38kDa
Observed MW:
38kDa
This gene encodes UDP-galactose-4-epimerase which catalyzes two distinct but analogous reactions: the epimerization of UDP-glucose to UDP-galactose, and the epimerization of UDP-N-acetylglucosamine to UDP-N-acetylgalactosamine. The bifunctional nature of the enzyme has the important metabolic consequence that mutant cells (or individuals) are dependent not only on exogenous galactose, but also on exogenous N-acetylgalactosamine as a necessary precursor for the synthesis of glycoproteins and glycolipids. Mutations in this gene result in epimerase-deficiency galactosemia, also referred to as galactosemia type 3, a disease characterized by liver damage, early-onset cataracts, deafness and cognitive disability, with symptoms ranging from mild ('peripheral' form) to severe ('generalized' form). Multiple alternatively spliced transcripts encoding the same protein have been identified.
Purification Method
Affinity purification
Gene ID
2582
RRID
AB_2767186
Buffer Information
Store at -20℃. Avoid freeze / thaw cycles. Buffer: PBS containing 50% glycerol, preserved with proclin300 or sodium azide, pH 7.3.
Western blot analysis of various lysates using GALE Rabbit pAb (CAB6595) at 1:1000 dilution. Secondary antibody: HRP-conjugated Goat anti-Rabbit IgG (H+L) (CABS014) at 1:10000 dilution. Lysates/proteins: 25μg per lane. Blocking buffer: 3% nonfat dry milk in TBST. Detection: ECL Basic Kit (AbGn00020). Exposure time: 3s.