The Galectin 1/LGALS1 Antibody (CAB1580) is a high-quality antibody developed for reliable detection and analysis of target proteins. This antibody, produced in rabbits, exhibits high specificity and reactivity with human samples, making it ideal for use in Western blot applications.Galectin-1 is known for its ability to modulate immune responses, regulate T-cell function, and promote tumor progression in certain cancer types. By targeting Galectin-1 with this antibody, researchers can gain valuable insights into the mechanisms underlying these processes and explore potential therapeutic strategies for cancer and autoimmune diseases.
This antibody is validated for use in WB, IF/ICC, ELISA applications and has demonstrated reactivity against Human, Mouse, Rat samples.
Product Name:
Galectin 1/LGALS1 Antibody
SKU:
CAB1580
Size:
20μL, 100μL
Reactivity:
Human, Mouse, Rat
Conjugate:
Unconjugated
Immunogen:
Recombinant protein (or fragment).This information is considered to be commercially sensitive.
The galectins are a family of beta-galactoside-binding proteins implicated in modulating cell-cell and cell-matrix interactions. This gene product may act as an autocrine negative growth factor that regulates cell proliferation.
Purification Method
Affinity purification
Gene ID
3956
RRID
AB_2763221
Buffer Information
Store at -20℃. Avoid freeze / thaw cycles. Buffer: PBS containing 50% glycerol, preserved with proclin300 or sodium azide, pH 7.3.
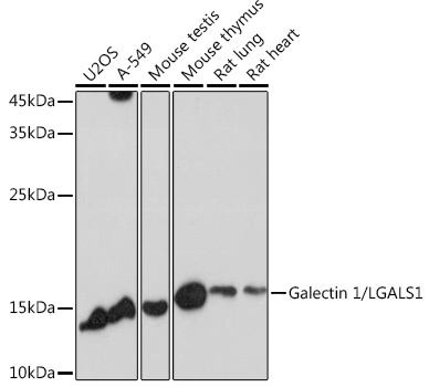
Western blot analysis of various lysates using Galectin 1/LGALS1 Rabbit pAb (CAB1580) at 1:1000 dilution. Secondary antibody: HRP-conjugated Goat anti-Rabbit IgG (H+L) (CABS014) at 1:10000 dilution. Lysates/proteins: 25μg per lane. Blocking buffer: 3% nonfat dry milk in TBST. Detection: ECL Basic Kit (AbGn00020). Exposure time: 30s.
Immunofluorescence analysis of NIH/3T3 cells using Galectin 1/LGALS1 Rabbit pAb (CAB1580) at dilution of 1:50 (40x lens). Secondary antibody: Cy3-conjugated Goat anti-Rabbit IgG (H+L) (CABS007) at 1:500 dilution. Blue: DAPI for nuclear staining.
Immunofluorescence analysis of U2OS cells using Galectin 1/LGALS1 Rabbit pAb (CAB1580) at dilution of 1:50 (40x lens). Secondary antibody: Cy3-conjugated Goat anti-Rabbit IgG (H+L) (CABS007) at 1:500 dilution. Blue: DAPI for nuclear staining.