The GALNS Antibody (CAB5461) is a high-quality antibody developed for reliable detection and analysis of target proteins. This antibody, produced in rabbits, shows high reactivity with human samples and is ideal for use in Western blot applications. By binding specifically to the GalNS protein, researchers are able to detect and analyze its expression in a variety of cell types.GalNS, also known as N-acetylgalactosamine 6-sulfatase, plays a crucial role in the breakdown of glycosaminoglycans within the body. Dysregulation of GalNS function has been linked to various genetic disorders, including mucopolysaccharidosis, highlighting its importance in maintaining normal cellular function.
This antibody is validated for use in WB, IF/ICC, ELISA applications and has demonstrated reactivity against Human, Mouse, Rat samples.
Product Name:
GALNS Antibody
SKU:
CAB5461
Size:
20μL, 100μL
Reactivity:
Human, Mouse, Rat
Conjugate:
Unconjugated
Immunogen:
Recombinant protein (or fragment).This information is considered to be commercially sensitive.
This gene encodes N-acetylgalactosamine-6-sulfatase which is a lysosomal exohydrolase required for the degradation of the glycosaminoglycans, keratan sulfate, and chondroitin 6-sulfate. Sequence alterations including point, missense and nonsense mutations, as well as those that affect splicing, result in a deficiency of this enzyme. Deficiencies of this enzyme lead to Morquio A syndrome, a lysosomal storage disorder.
Purification Method
Affinity purification
Gene ID
2588
RRID
AB_2766262
Buffer Information
Store at -20℃. Avoid freeze / thaw cycles. Buffer: PBS containing 50% glycerol, preserved with proclin300 or sodium azide, pH 7.3.
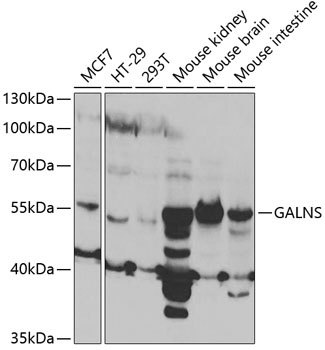
Western blot analysis of various lysates using GALNS Rabbit pAb (CAB5461) at 1:1000 dilution. Secondary antibody: HRP-conjugated Goat anti-Rabbit IgG (H+L) (CABS014) at 1:10000 dilution. Lysates/proteins: 25μg per lane. Blocking buffer: 3% nonfat dry milk in TBST. Detection: ECL Basic Kit (AbGn00020). Exposure time: 15s.
Immunofluorescence analysis of C6 cells using GALNS Rabbit pAb (CAB5461) at dilution of 1:100 (40x lens). Secondary antibody: Cy3-conjugated Goat anti-Rabbit IgG (H+L) (CABS007) at 1:500 dilution. Blue: DAPI for nuclear staining.