The GALNT3 Antibody (CAB13985) is a high-quality antibody developed for reliable detection and analysis of target proteins. This antibody, derived from rabbits, exhibits high reactivity with human samples and has been validated for use in Western blot applications.GALNT3 plays a key role in the glycosylation process by adding N-acetylgalactosamine (GalNAc) to target proteins, thereby influencing their structure and function. Dysregulation of GALNT3 has been implicated in various diseases, including cancer and metabolic disorders, making it a promising target for therapeutic intervention.
This antibody is validated for use in WB, IHC-P, IF/ICC, ELISA applications and has demonstrated reactivity against Human, Mouse, Rat samples.
Product Name:
GALNT3 Antibody
SKU:
CAB13985
Size:
20μL, 100μL
Reactivity:
Human, Mouse, Rat
Conjugate:
Unconjugated
Immunogen:
Recombinant protein (or fragment).This information is considered to be commercially sensitive.
Recommended starting concentration is 1 μg/mL. Please optimize the concentration based on your specific assay requirements.
Synonyms:
HHS, HFTC, HFTC1, GalNAc-T3, GALNT3
Positive Sample:
BxPC-3, Rat testis
Cellular Localization:
Golgi Apparatus, Golgi Stack Membrane, Single-Pass Type Ii Membrane Protein.
Calculated MW:
73kDa
Observed MW:
73kDa
This gene encodes UDP-GalNAc transferase 3, a member of the GalNAc-transferases family. This family transfers an N-acetyl galactosamine to the hydroxyl group of a serine or threonine residue in the first step of O-linked oligosaccharide biosynthesis. Individual GalNAc-transferases have distinct activities and initiation of O-glycosylation is regulated by a repertoire of GalNAc-transferases. The protein encoded by this gene is highly homologous to other family members, however the enzymes have different substrate specificities.
Purification Method
Affinity purification
Gene ID
2591
RRID
AB_2760839
Buffer Information
Store at -20℃. Avoid freeze / thaw cycles. Buffer: PBS containing 50% glycerol, preserved with proclin300 or sodium azide, pH 7.3.
Western blot analysis of various lysates using GALNT3 Rabbit pAb (CAB13985) at 1:1000 dilution. Secondary antibody: HRP-conjugated Goat anti-Rabbit IgG (H+L) (CABS014) at 1:10000 dilution. Lysates/proteins: 25μg per lane. Blocking buffer: 3% nonfat dry milk in TBST. Detection: ECL Basic Kit (AbGn00020). Exposure time: 1s.
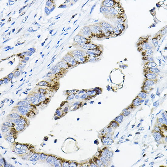
Immunohistochemistry analysis of paraffin-embedded Human colon carcinoma using GALNT3 Rabbit pAb (CAB13985) at dilution of 1:100 (40x lens). High pressure antigen retrieval performed with 0.01M Citrate buffer (pH 6.0) prior to IHC staining.