The GIP Antibody (CAB6230) is a high-quality antibody developed for reliable detection and analysis of target proteins. This antibody, produced in rabbits, is highly specific to human samples and has been validated for use in Western blot applications. By binding to the GIP protein, this antibody allows for accurate detection and analysis in a variety of cell types, making it well-suited for investigations in the fields of endocrinology and metabolic disorders.
This antibody is validated for use in WB, IHC-P, ELISA applications and has demonstrated reactivity against Human, Mouse, Rat samples.
Product Name:
GIP Antibody
SKU:
CAB6230
Size:
20μL, 100μL
Reactivity:
Human, Mouse, Rat
Conjugate:
Unconjugated
Immunogen:
Recombinant protein (or fragment).This information is considered to be commercially sensitive.
Recommended starting concentration is 1 μg/mL. Please optimize the concentration based on your specific assay requirements.
Synonyms:
GIP
Positive Sample:
Mouse small intestine
Cellular Localization:
Secreted.
Calculated MW:
17kDa
Observed MW:
17kDa
This gene encodes an incretin hormone and belongs to the glucagon superfamily. The encoded protein is important in maintaining glucose homeostasis as it is a potent stimulator of insulin secretion from pancreatic beta-cells following food ingestion and nutrient absorption. This gene stimulates insulin secretion via its G protein-coupled receptor activation of adenylyl cyclase and other signal transduction pathways. It is a relatively poor inhibitor of gastric acid secretion.
Purification Method
Affinity purification
Gene ID
2695
RRID
AB_2766839
Buffer Information
Store at -20℃. Avoid freeze / thaw cycles. Buffer: PBS containing 50% glycerol, preserved with proclin300 or sodium azide, pH 7.3.
Western blot analysis of lysates from Mouse small intestine, using GIP Rabbit pAb (CAB6230) at 1:500 dilution. Secondary antibody: HRP-conjugated Goat anti-Rabbit IgG (H+L) (CABS014) at 1:10000 dilution. Lysates/proteins: 25μg per lane. Blocking buffer: 3% nonfat dry milk in TBST. Detection: ECL Basic Kit (AbGn00020). Exposure time: 180s.
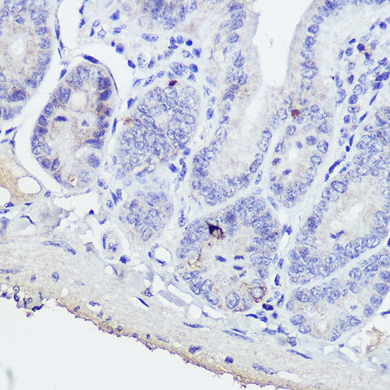
Immunohistochemistry analysis of paraffin-embedded Mouse intestin using GIP Rabbit pAb (CAB6230) at dilution of 1:50 (40x lens). High pressure antigen retrieval performed with 0.01M Citrate buffer (pH 6.0) prior to IHC staining.