Gjc3 Antibody is a premium polyclonal that offers outstanding performance and reliability for demanding research applications. Rigorously validated for ELISA, IHC, this antibody ensures consistent, reproducible results across multiple experimental platforms. Demonstrates excellent reactivity with Human, Mouse samples, providing researchers with confidence in cross-species compatibility. Conveniently packaged in 50ul format to meet your experimental needs. For optimal performance, store at -20°C or -80°C and maintains stability for 12 months. Backed by rigorous quality control testing to ensure superior performance in your critical research applications.
Product Name:
Gjc3 Antibody
SKU:
PACO17742
Size:
50μl
Isotype:
IgG
Host Species:
Rabbit
Reactivity:
Human, Mouse
Immunogen:
Synthetic peptide of Mouse Gjc3
Immunogen Species:
Mus musculus (Mouse)
Uniprot No:
Q921C1
Form:
Liquid
Tested Applications:
ELISAIHC
Recommended Dilution:
Application
Recommended Dilution
ELISA
1:1000-1:2000
IHC
1:10-1:50
Synonyms:
Gjc3, Cx29, Gje1, Gap junction gamma-3 protein, Connexin-29, Gap junction epsilon-1 protein
Target Names:
Gjc3
Storage Buffer:
-20°C, pH7.4 PBS, 0.05% NaN3, 40% Glycerol
Purification:
Antigen affinity purification
Conjugate:
Non-conjugated
The image on the left is immunohistochemistry of paraffin-embedded Human cervical cancer tissue using PACO17742 at dilution 1/10, on the right is treated with synthetic peptide. (Original magnification: ×200)
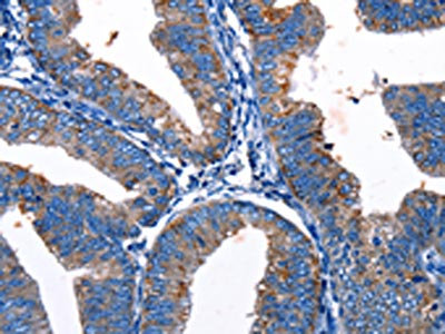
The image on the left is immunohistochemistry of paraffin-embedded Human colon cancer tissue using PACO17742 at dilution 1/10, on the right is treated with synthetic peptide. (Original magnification: ×200)