The GJD2 Antibody (CAB2883) is a high-quality antibody developed for reliable detection and analysis of target proteins. This antibody, raised in rabbits, exhibits high reactivity with human samples and is validated for use in various applications, including Western blotting.GJD2, also known as Connexin 36, is a member of the gap junction protein family and is essential for the synchronization of neuronal activity. Dysfunction of GJD2 has been linked to neurological disorders such as epilepsy and migraine.
This antibody is validated for use in WB, ELISA applications and has demonstrated reactivity against Human, Mouse, Rat samples.
Product Name:
GJD2 Antibody
SKU:
CAB2883
Size:
20μL, 100μL
Reactivity:
Human, Mouse, Rat
Conjugate:
Unconjugated
Immunogen:
Recombinant protein (or fragment).This information is considered to be commercially sensitive.
Recommended starting concentration is 1 μg/mL. Please optimize the concentration based on your specific assay requirements.
Synonyms:
CX36, GJA9, GJD2
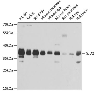
Positive Sample:
HL-60, Jurkat, SH-SY5Y, Mouse pancreas, Mouse eye, Mouse brain, Rat pancreas, Rat eye, Rat brain
Cellular Localization:
Cell Junction, Cell Membrane, Multi-Pass Membrane Protein, Gap Junction.
Calculated MW:
36kDa
Observed MW:
37kDa
This gene encodes a member of the connexin protein family. Connexins are gap junction proteins which are arranged in groups of 6 around a central pore to form a connexon, a component of the gap junction intercellular channel. The channels formed by this protein allow cationic molecule exchange between human beta cells and may function in the regulation of insulin secretion.
Purification Method
Affinity purification
Gene ID
57369
RRID
AB_2764703
Buffer Information
Store at -20℃. Avoid freeze / thaw cycles. Buffer: PBS containing 50% glycerol, preserved with proclin300 or sodium azide, pH 7.3.
Western blot analysis of various lysates using GJD2 Rabbit pAb (CAB2883) at 1:1000 dilution. Secondary antibody: HRP-conjugated Goat anti-Rabbit IgG (H+L) (CABS014) at 1:10000 dilution. Lysates/proteins: 25μg per lane. Blocking buffer: 3% nonfat dry milk in TBST. Detection: ECL Basic Kit (AbGn00020). Exposure time: 1s.