The GLIS3 Antibody (CAB12166) is a high-quality antibody developed for reliable detection and analysis of target proteins. This antibody, derived from rabbits, exhibits high specificity towards human samples and has been validated for use in Western blot applications. By binding specifically to the GLIS3 protein, this antibody enables accurate detection and analysis in a variety of cell types, making it an ideal choice for investigations in molecular biology and developmental research.GLIS3 is involved in the regulation of various biological functions, including pancreatic beta cell development, insulin secretion, and kidney development.
This antibody is validated for use in WB, ELISA applications and has demonstrated reactivity against Human, Mouse, Rat samples.
Product Name:
GLIS3 Antibody
SKU:
CAB12166
Size:
20μL, 100μL
Reactivity:
Human, Mouse, Rat
Conjugate:
Unconjugated
Immunogen:
Recombinant protein (or fragment).This information is considered to be commercially sensitive.
Recommended starting concentration is 1 μg/mL. Please optimize the concentration based on your specific assay requirements.
Synonyms:
NDH, ZNF515, GLIS3
Positive Sample:
Mouse ovary
Cellular Localization:
Nucleus.
Calculated MW:
84kDa
Observed MW:
84kDa
This gene is a member of the GLI-similar zinc finger protein family and encodes a nuclear protein with five C2H2-type zinc finger domains. This protein functions as both a repressor and activator of transcription and is specifically involved in the development of pancreatic beta cells, the thyroid, eye, liver and kidney. Mutations in this gene have been associated with neonatal diabetes and congenital hypothyroidism (NDH). Alternatively spliced variants that encode different protein isoforms have been described but the full-length nature of only two have been determined.
Purification Method
Affinity purification
Gene ID
169792
RRID
AB_2759052
Buffer Information
Store at -20℃. Avoid freeze / thaw cycles. Buffer: PBS containing 50% glycerol, preserved with proclin300 or sodium azide, pH 7.3.
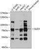
Western blot analysis of various lysates, using GLIS3 Rabbit pAb (CAB12166) at 1:7000 dilution. Secondary antibody: HRP-conjugated Goat anti-Rabbit IgG (H+L) (CABS014) at 1:10000 dilution. Lysates/proteins: 25μg per lane. Blocking buffer: 3% nonfat dry milk in TBST. Detection: ECL Basic Kit (AbGn00020). Exposure time: 180s.