The GNB1L Antibody (CAB7810) is a high-quality antibody developed for reliable detection and analysis of target proteins. This antibody, produced in rabbits, exhibits high specificity and sensitivity towards human samples, making it ideal for various research applications such as Western blotting. By binding to the GNB1L protein, this antibody allows for the detection and analysis of GNB1L in different cell types, offering valuable insights into its functions and roles in biological processes.GNB1L, also known as G protein beta subunit-like, is known for its involvement in multiple signaling cascades and pathways that regulate various cellular activities, including cell growth, differentiation, and proliferation.
This antibody is validated for use in WB, ELISA applications and has demonstrated reactivity against Human, Mouse, Rat samples.
Product Name:
GNB1L Antibody
SKU:
CAB7810
Size:
20μL, 100μL
Reactivity:
Human, Mouse, Rat
Conjugate:
Unconjugated
Immunogen:
Recombinant protein (or fragment).This information is considered to be commercially sensitive.
This gene encodes a G-protein beta-subunit-like polypeptide which is a member of the WD repeat protein family. WD repeats are minimally conserved regions of approximately 40 amino acids typically bracketed by gly-his and trp-asp (GH-WD), which may facilitate formation of heterotrimeric or multiprotein complexes. Members of this family are involved in a variety of cellular processes, including cell cycle progression, signal transduction, apoptosis, and gene regulation. This protein contains 6 WD repeats and is highly expressed in the heart. The gene maps to the region on chromosome 22q11, which is deleted in DiGeorge syndrome, trisomic in derivative 22 syndrome and tetrasomic in cat-eye syndrome. Therefore, this gene may contribute to the etiology of those disorders. Transcripts from this gene share exons with some transcripts from the C22orf29 gene.
Purification Method
Affinity purification
Gene ID
54584
RRID
AB_2769636
Buffer Information
Store at -20℃. Avoid freeze / thaw cycles. Buffer: PBS containing 50% glycerol, preserved with proclin300 or sodium azide, pH 7.3.
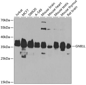
Western blot analysis of various lysates using GNB1L Rabbit pAb (CAB7810) at 1:1000 dilution. Secondary antibody: HRP-conjugated Goat anti-Rabbit IgG (H+L) (CABS014) at 1:10000 dilution. Lysates/proteins: 25μg per lane. Blocking buffer: 3% nonfat dry milk in TBST. Detection: ECL Basic Kit (AbGn00020). Exposure time: 90s.