The GOLPH2 Polyclonal Antibody (CAB12584) is a high-quality antibody developed for reliable detection and analysis of target proteins. This antibody is produced in rabbits and has been validated for use in Western blot applications with human samples.Golm1, also known as Golgi membrane protein 1, is essential for maintaining Golgi structure and function, playing a key role in protein glycosylation and sorting. Dysregulation of Golm1 has been implicated in various diseases, including cancer and neurodegenerative disorders.
This antibody is validated for use in WB, IHC-P, IF/ICC, ELISA applications and has demonstrated reactivity against Human, Mouse, Rat samples.
Product Name:
GOLPH2 Polyclonal Antibody
SKU:
CAB12584
Size:
20μL, 100μL
Reactivity:
Human, Mouse, Rat
Conjugate:
Unconjugated
Immunogen:
Recombinant protein (or fragment).This information is considered to be commercially sensitive.
Golgi Apparatus, Single-Pass Type Ii Membrane Protein, Cis-Golgi Network Membrane.
Calculated MW:
45kDa
Observed MW:
76kDa
The Golgi complex plays a key role in the sorting and modification of proteins exported from the endoplasmic reticulum. The protein encoded by this gene is a type II Golgi transmembrane protein. It processes proteins synthesized in the rough endoplasmic reticulum and assists in the transport of protein cargo through the Golgi apparatus. The expression of this gene has been observed to be upregulated in response to viral infection. Alternatively spliced transcript variants encoding the same protein have been described for this gene.
Purification Method
Affinity purification
Gene ID
51280
RRID
AB_2759426
Buffer Information
Store at -20℃. Avoid freeze / thaw cycles. Buffer: PBS containing 50% glycerol, preserved with proclin300 or sodium azide, pH 7.3.
Western blot analysis of lysates from Mouse large intestine, using GOLPH2 Rabbit pAb (CAB12584) at 1:9000 dilution. Secondary antibody: HRP-conjugated Goat anti-Rabbit IgG (H+L) (CABS014) at 1:10000 dilution. Lysates/proteins: 25μg per lane. Blocking buffer: 3% nonfat dry milk in TBST. Detection: ECL Basic Kit (AbGn00020). Exposure time: 90s.
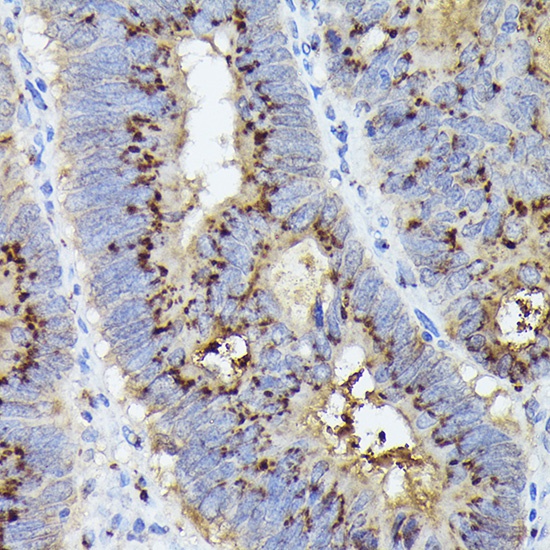
Immunohistochemistry analysis of paraffin-embedded Human colon carcinoma using GOLPH2 Rabbit pAb (CAB12584) at dilution of 1:100 (40x lens). High pressure antigen retrieval performed with 0.01M Citrate buffer (pH 6.0) prior to IHC staining.
Confocal immunofluorescence analysis of Hela cells using GOLPH2 Rabbit pAb (CAB12584) at dilution of 1:200. Blue: DAPI for nuclear staining.