The GOLPH2 Antibody (CAB7283) is a high-quality antibody developed for reliable detection and analysis of target proteins. This rabbit-raised antibody is highly reactive with human samples and has been validated for use in Western blot applications, allowing for the detection and analysis of Golm1 protein levels in various cell types.Golm1, also known as Golgi membrane protein 1, plays a crucial role in maintaining Golgi structure and function, as well as regulating immune responses. Its involvement in immune regulation suggests potential implications in diseases such as cancer, autoimmune disorders, and inflammatory conditions.
This antibody is validated for use in WB, IHC-P, IF/ICC, ELISA applications and has demonstrated reactivity against Human, Mouse, Rat samples.
Product Name:
GOLPH2 Antibody
SKU:
CAB7283
Size:
20μL, 100μL
Reactivity:
Human, Mouse, Rat
Conjugate:
Unconjugated
Immunogen:
Recombinant protein (or fragment).This information is considered to be commercially sensitive.
Golgi Apparatus, Single-Pass Type Ii Membrane Protein, Cis-Golgi Network Membrane.
Calculated MW:
45kDa
Observed MW:
75kDa
The Golgi complex plays a key role in the sorting and modification of proteins exported from the endoplasmic reticulum. The protein encoded by this gene is a type II Golgi transmembrane protein. It processes proteins synthesized in the rough endoplasmic reticulum and assists in the transport of protein cargo through the Golgi apparatus. The expression of this gene has been observed to be upregulated in response to viral infection. Alternatively spliced transcript variants encoding the same protein have been described for this gene.
Purification Method
Affinity purification
Gene ID
51280
RRID
AB_2767824
Buffer Information
Store at -20℃. Avoid freeze / thaw cycles. Buffer: PBS containing 50% glycerol, preserved with proclin300 or sodium azide, pH 7.3.
Western blot analysis of various lysates, using GOLPH2 Rabbit pAb (CAB7283) at 1:1000 dilution. Secondary antibody: HRP-conjugated Goat anti-Rabbit IgG (H+L) (CABS014) at 1:10000 dilution. Lysates/proteins: 25μg per lane. Blocking buffer: 3% nonfat dry milk in TBST. Detection: ECL Basic Kit (AbGn00020). Exposure time: 180s.
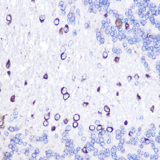
Immunohistochemistry analysis of paraffin-embedded Rat brain using GOLPH2 Rabbit pAb (CAB7283) at dilution of 1:100 (40x lens). Microwave antigen retrieval performed with 0.01M Tris/EDTA Buffer (pH 9.0) prior to IHC staining.
Immunofluorescence analysis of U2OS cells using GOLPH2 Rabbit pAb (CAB7283) at dilution of 1:100 (40x lens). Secondary antibody: Cy3-conjugated Goat anti-Rabbit IgG (H+L) (CABS007) at 1:500 dilution. Blue: DAPI for nuclear staining.