The GOT2 Antibody (CAB6915) is a high-quality antibody developed for reliable detection and analysis of target proteins. This antibody is produced in rabbits and exhibits high reactivity with human samples, making it an ideal choice for Western blot applications.GOT2 plays a crucial role in the production of energy within cells by catalyzing the conversion of aspartate to oxaloacetate. Dysfunction of this enzyme has been linked to various metabolic disorders, making it an attractive target for further investigation in fields such as biochemistry, metabolism, and mitochondrial function.
This antibody is validated for use in WB, IHC-P, IF/ICC, ELISA applications and has demonstrated reactivity against Human, Mouse, Rat samples.
Product Name:
GOT2 Antibody
SKU:
CAB6915
Size:
20μL, 100μL
Reactivity:
Human, Mouse, Rat
Conjugate:
Unconjugated
Immunogen:
Recombinant protein (or fragment).This information is considered to be commercially sensitive.
Recommended starting concentration is 1 μg/mL. Please optimize the concentration based on your specific assay requirements.
Synonyms:
KAT4, DEE82, KATIV, KYAT4, mitAAT, GOT2
Positive Sample:
SW620, HepG2, BT-474, Jurkat, Mouse kidney, Mouse liver, Mouse brain, Rat kidney, Rat brain
Cellular Localization:
Cell Membrane, Mitochondrion Matrix.
Calculated MW:
48kDa
Observed MW:
48kDa
Glutamic-oxaloacetic transaminase is a pyridoxal phosphate-dependent enzyme which exists in cytoplasmic and inner-membrane mitochondrial forms, GOT1 and GOT2, respectively. GOT plays a role in amino acid metabolism and the urea and tricarboxylic acid cycles. The two enzymes are homodimeric and show close homology. Two transcript variants encoding different isoforms have been found for this gene.
Purification Method
Affinity purification
Gene ID
2806
RRID
AB_2767474
Buffer Information
Store at -20℃. Avoid freeze / thaw cycles. Buffer: PBS containing 50% glycerol, preserved with proclin300 or sodium azide, pH 7.3.
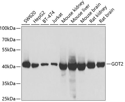
Western blot analysis of various lysates using GOT2 Rabbit pAb (CAB6915) at 1:1000 dilution. Secondary antibody: HRP-conjugated Goat anti-Rabbit IgG (H+L) (CABS014) at 1:10000 dilution. Lysates/proteins: 25μg per lane. Blocking buffer: 3% nonfat dry milk in TBST. Detection: ECL Basic Kit (AbGn00020). Exposure time: 5s.
Immunohistochemistry analysis of paraffin-embedded Human liver using GOT2 Rabbit pAb (CAB6915) at dilution of 1:100 (40x lens). High pressure antigen retrieval performed with 0.01M Citrate buffer (pH 6.0) prior to IHC staining.
Immunofluorescence analysis of BALB-3T3 cells using GOT2 Rabbit pAb (CAB6915) at dilution of 1:100 (40x lens). Secondary antibody: Cy3-conjugated Goat anti-Rabbit IgG (H+L) (CABS007) at 1:500 dilution. Blue: DAPI for nuclear staining.