The GOT2 Monoclonal Antibody (CAB19245) is a high-quality antibody developed for reliable detection and analysis of target proteins. This antibody, raised in rabbits, is highly specific to human samples and has been validated for use in Western blot applications. By binding to the GOT2 protein, it enables the detection and analysis of this enzyme in various cell types, making it ideal for investigations in biochemistry and metabolism research.GOT2 plays a crucial role in cellular energy metabolism by facilitating the transfer of amino groups between different molecules, contributing to processes such as amino acid metabolism and the tricarboxylic acid cycle.
This antibody is validated for use in WB, IHC-P, ELISA applications and has demonstrated reactivity against Human, Mouse, Rat samples.
Product Name:
GOT2 Monoclonal Antibody
SKU:
CAB19245
Size:
20μL, 100μL
Reactivity:
Human, Mouse, Rat
Clone Number:
ARC2405
Conjugate:
Unconjugated
Immunogen:
Synthetic peptide. This information is considered to be commercially sensitive.
Recommended starting concentration is 1 μg/mL. Please optimize the concentration based on your specific assay requirements.
Synonyms:
KAT4, DEE82, KATIV, KYAT4, mitAAT, GOT2
Positive Sample:
HepG2, K-562, SH-SY5Y, Mouse liver, Mouse brain, Mouse kidney, Rat liver, Rat brain, Rat kidney
Cellular Localization:
Cell Membrane, Mitochondrion Matrix.
Calculated MW:
48kDa
Observed MW:
42kDa
Glutamic-oxaloacetic transaminase is a pyridoxal phosphate-dependent enzyme which exists in cytoplasmic and inner-membrane mitochondrial forms, GOT1 and GOT2, respectively. GOT plays a role in amino acid metabolism and the urea and tricarboxylic acid cycles. The two enzymes are homodimeric and show close homology. Two transcript variants encoding different isoforms have been found for this gene.
Purification Method
Affinity purification
Gene ID
2806
Buffer Information
Store at -20℃. Avoid freeze / thaw cycles. Buffer: PBS containing 50% glycerol and 0.05% BSA, preserved with proclin300 or sodium azide, pH 7.3.
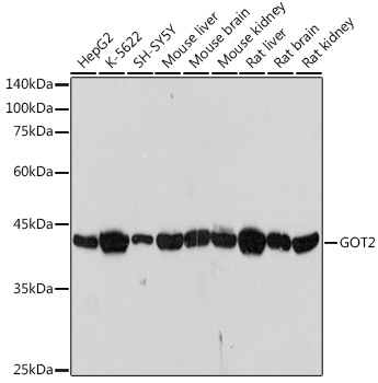
Western blot analysis of various lysates using GOT2 Rabbit mAb (CAB19245) at 1:1000 dilution. Secondary antibody: HRP-conjugated Goat anti-Rabbit IgG (H+L) (CABS014) at 1:10000 dilution. Lysates/proteins: 25μg per lane. Blocking buffer: 3% nonfat dry milk in TBST. Detection: ECL Basic Kit (AbGn00020). Exposure time: 1s.
Immunohistochemistry analysis of paraffin-embedded Rat brain using GOT2 Rabbit mAb (CAB19245) at dilution of 1:100 (40x lens). Microwave antigen retrieval performed with 0.01M Tris/EDTA Buffer (pH 9.0) prior to IHC staining.
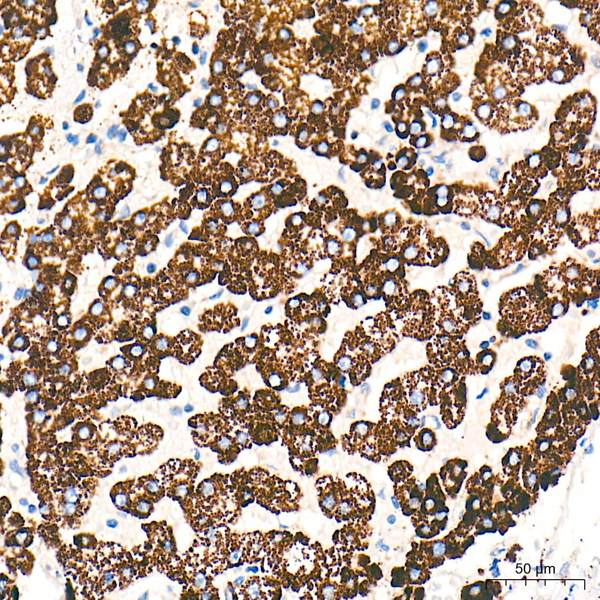
Immunohistochemistry analysis of paraffin-embedded Human liver cancer tissue using GOT2 Rabbit mAb (CAB19245) at a dilution of 1:500 (40x lens). High pressure antigen retrieval performed with 0.01M Tris-EDTA Buffer (pH 9.0) prior to IHC staining.
Immunohistochemistry analysis of paraffin-embedded Human breast cancer tissue using GOT2 Rabbit mAb (CAB19245) at a dilution of 1:500 (40x lens). High pressure antigen retrieval performed with 0.01M Tris-EDTA Buffer (pH 9.0) prior to IHC staining.
Immunohistochemistry analysis of paraffin-embedded Human tonsil tissue using GOT2 Rabbit mAb (CAB19245) at a dilution of 1:500 (40x lens). High pressure antigen retrieval performed with 0.01M Tris-EDTA Buffer (pH 9.0) prior to IHC staining.
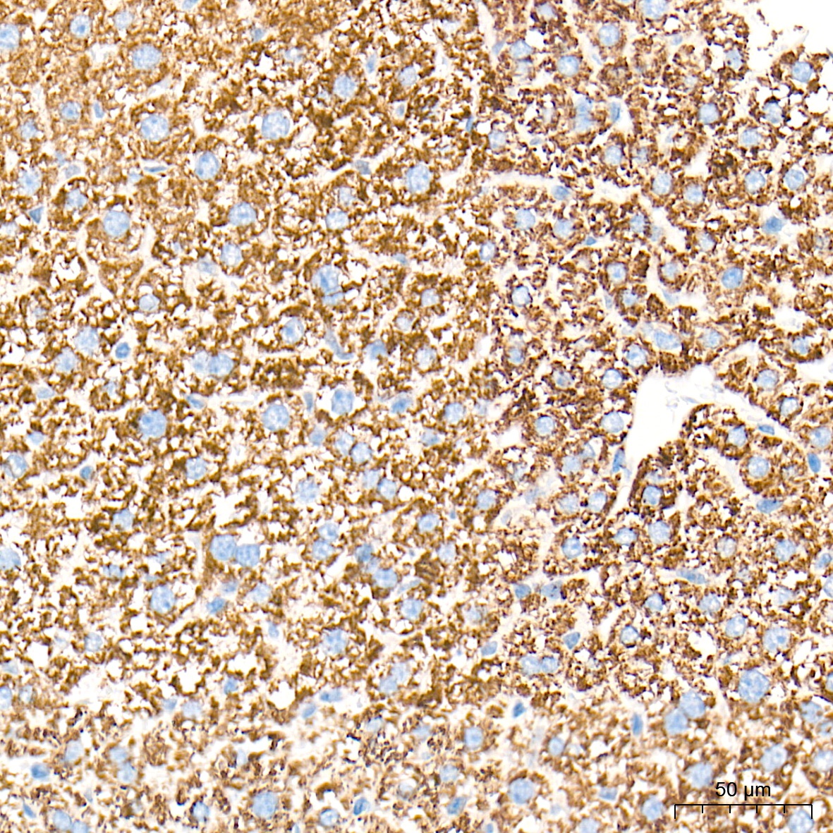
Immunohistochemistry analysis of paraffin-embedded Mouse liver tissue using GOT2 Rabbit mAb (CAB19245) at a dilution of 1:500 (40x lens). High pressure antigen retrieval performed with 0.01M Tris-EDTA Buffer (pH 9.0) prior to IHC staining.
Immunohistochemistry analysis of paraffin-embedded Rat heart tissue using GOT2 Rabbit mAb (CAB19245) at a dilution of 1:500 (40x lens). High pressure antigen retrieval performed with 0.01M Tris-EDTA Buffer (pH 9.0) prior to IHC staining.