The Grp75/MOT/HSPA9 Monoclonal Antibody (CAB11256) is a high-quality antibody developed for reliable detection and analysis of target proteins. This antibody, developed using rabbit monoclonal technology, demonstrates exceptional reactivity with human samples and is validated for use in various applications, including immunofluorescence and immunohistochemistry.GRP75 is a key player in maintaining cellular homeostasis and promoting cell survival under stress conditions, making it a promising target for studies in cancer biology, neurodegenerative diseases, and metabolic disorders.
This antibody is validated for use in WB, ELISA applications and has demonstrated reactivity against Human, Mouse, Rat samples.
Product Name:
Grp75/MOT/HSPA9 Monoclonal Antibody
SKU:
CAB11256
Size:
20μL, 100μL
Reactivity:
Human, Mouse, Rat
Clone Number:
ARC0566
Conjugate:
Unconjugated
Immunogen:
Synthetic peptide. This information is considered to be commercially sensitive.
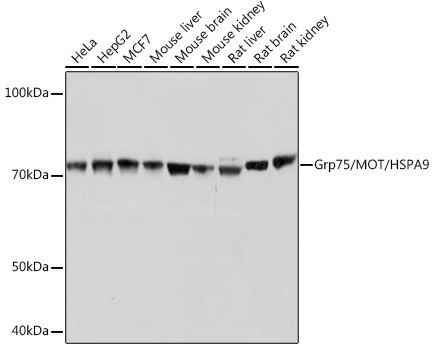
HeLa, HepG2, MCF7, Mouse liver, Mouse brain, Mouse kidney, Rat liver, Rat brain, Rat kidney
Cellular Localization:
Mitochondrion, Nucleus, Nucleolus.
Calculated MW:
74kDa
Observed MW:
74kDa
This gene encodes a member of the heat shock protein 70 gene family. The encoded protein is primarily localized to the mitochondria but is also found in the endoplasmic reticulum, plasma membrane and cytoplasmic vesicles. This protein is a heat-shock cognate protein. This protein plays a role in cell proliferation, stress response and maintenance of the mitochondria. A pseudogene of this gene is found on chromosome 2.
Purification Method
Affinity purification
Gene ID
3313
RRID
AB_2861536
Buffer Information
Store at -20℃. Avoid freeze / thaw cycles. Buffer: PBS containing 50% glycerol and 0.05% BSA, preserved with proclin300 or sodium azide, pH 7.3.
Western blot analysis of various lysates using Grp75/MOT/HSPA9 Rabbit mAb (CAB11256) at 1:1000 dilution. Secondary antibody: HRP-conjugated Goat anti-Rabbit IgG (H+L) (CABS014) at 1:10000 dilution. Lysates/proteins: 25μg per lane. Blocking buffer: 3% nonfat dry milk in TBST. Detection: ECL Basic Kit (AbGn00020). Exposure time: 60s.