The GSTO2 Antibody (CAB5774) is a high-quality antibody developed for reliable detection and analysis of target proteins. This antibody, produced in rabbits, exhibits high reactivity with human samples and has been validated for Western blot applications. By specifically binding to GSTO2 protein, this antibody allows for the detection and analysis of GSTO2 expression in a variety of cell types, making it a versatile tool for studies in biochemistry and toxicology.GSTO2 plays a crucial role in cellular defense against oxidative damage and is involved in the metabolism of a wide range of compounds, including carcinogens and environmental toxins.
This antibody is validated for use in WB, IHC-P, IF/ICC, ELISA applications and has demonstrated reactivity against Human, Mouse, Rat samples.
Product Name:
GSTO2 Antibody
SKU:
CAB5774
Size:
20μL, 100μL
Reactivity:
Human, Mouse, Rat
Conjugate:
Unconjugated
Immunogen:
Recombinant protein (or fragment).This information is considered to be commercially sensitive.
Recommended starting concentration is 1 μg/mL. Please optimize the concentration based on your specific assay requirements.
Synonyms:
GSTO 2-2, bA127L20.1, GSTO2
Positive Sample:
A-431
Cellular Localization:
Cytoplasm, Cytosol, Extracellular Exosome.
Calculated MW:
28kDa
Observed MW:
25kDa
The protein encoded by this gene is an omega class glutathione S-transferase (GST). GSTs are involved in the metabolism of xenobiotics and carcinogens. Four transcript variants encoding different isoforms have been found for this gene.
Purification Method
Affinity purification
Gene ID
119391
RRID
AB_2766528
Buffer Information
Store at -20℃. Avoid freeze / thaw cycles. Buffer: PBS containing 50% glycerol, preserved with proclin300 or sodium azide, pH 7.3.
Western blot analysis of various lysates using GSTO2 Rabbit pAb (CAB5774) at 1:900 dilution. Secondary antibody: HRP-conjugated Goat anti-Rabbit IgG (H+L) (CABS014) at 1:10000 dilution. Lysates/proteins: 25 μg per lane. Blocking buffer: 3% nonfat dry milk in TBST. Detection: ECL Basic Kit (AbGn00020). Negative control (NC): MOLT-4. Exposure time: 90s.
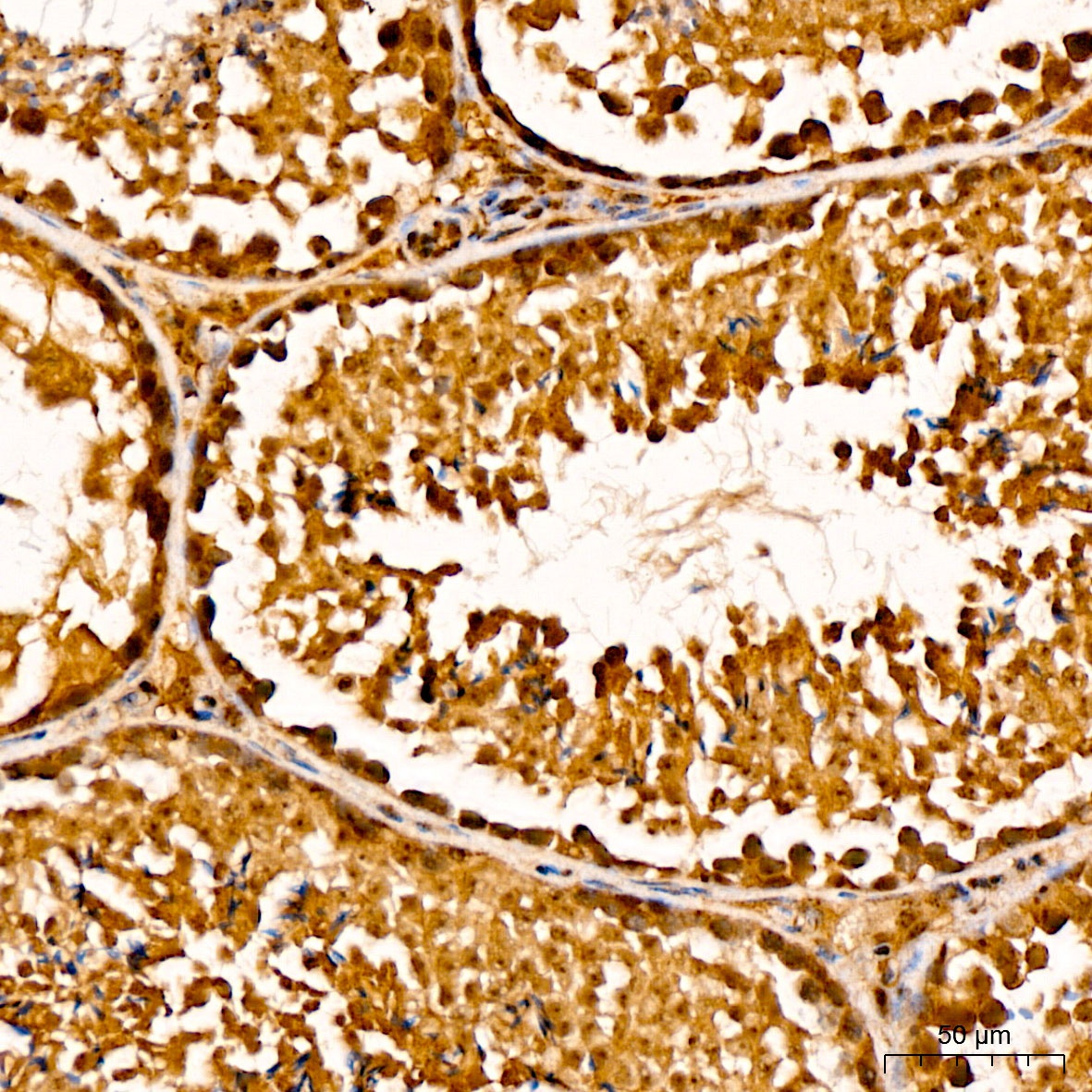
Immunohistochemistry analysis of paraffin-embedded Mouse testis tissue using GSTO2 Rabbit pAb (CAB5774) at a dilution of 1:100 (40x lens). High pressure antigen retrieval was performed with 0.01 M citrate buffer (pH 6.0) prior to IHC staining.
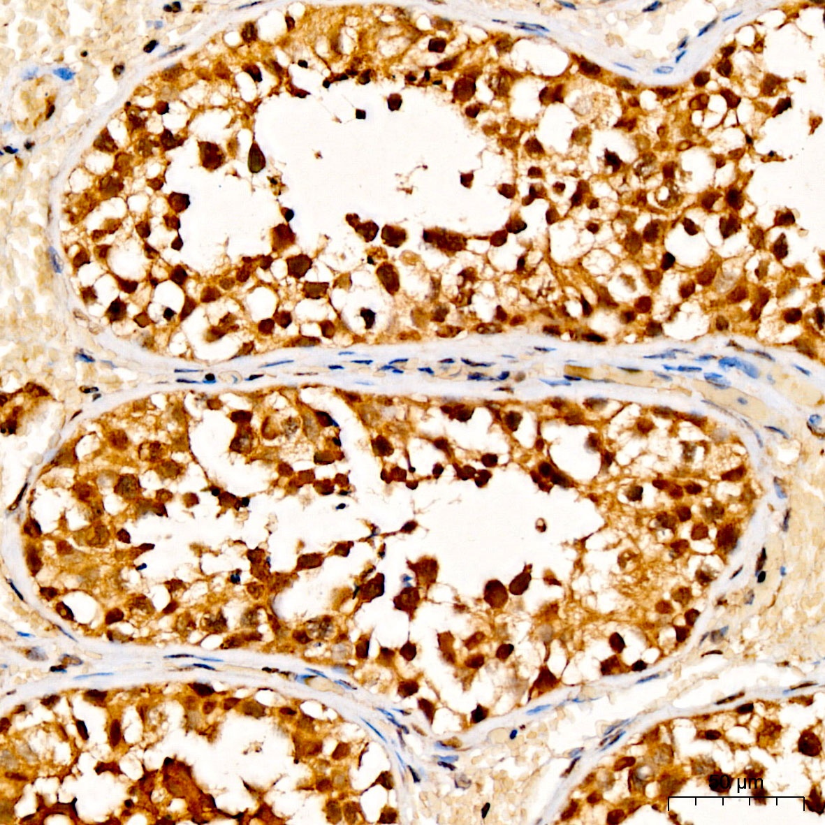
Immunohistochemistry analysis of paraffin-embedded Human testis tissue using GSTO2 Rabbit pAb (CAB5774) at a dilution of 1:100 (40x lens). High pressure antigen retrieval was performed with 0.01 M citrate buffer (pH 6.0) prior to IHC staining.
Immunofluorescence analysis of C6 cells using GSTO2 Rabbit pAb (CAB5774) at dilution of 1:100 (40x lens). Secondary antibody: Cy3-conjugated Goat anti-Rabbit IgG (H+L) (CABS007) at 1:500 dilution. Blue: DAPI for nuclear staining.