The GTF2I Antibody (CAB7898) is a high-quality antibody developed for reliable detection and analysis of target proteins. This antibody, produced in rabbits, demonstrates high reactivity with human samples and has been validated for use in Western blot applications. By binding specifically to the GTF2I protein, this antibody enables accurate detection and analysis in a variety of cell types, making it ideal for investigations in molecular biology and developmental biology.GTF2I, also known as general transcription factor II-I, plays a crucial role in the regulation of gene expression and plays a key role in cell differentiation and growth.
This antibody is validated for use in WB, IHC-P, ELISA applications and has demonstrated reactivity against Human, Mouse, Rat samples.
Product Name:
GTF2I Antibody
SKU:
CAB7898
Size:
20μL, 100μL
Reactivity:
Human, Mouse, Rat
Conjugate:
Unconjugated
Immunogen:
Recombinant protein (or fragment).This information is considered to be commercially sensitive.
This gene encodes a phosphoprotein containing six characteristic repeat motifs. The encoded protein binds to the initiator element (Inr) and E-box element in promoters and functions as a regulator of transcription. This locus, along with several other neighboring genes, is deleted in Williams-Beuren syndrome. There are many closely related genes and pseudogenes for this gene on chromosome 7. This gene also has pseudogenes on chromosomes 9, 13, and 21. Alternatively spliced transcript variants encoding multiple isoforms have been observed.
Purification Method
Affinity purification
Gene ID
2969
RRID
AB_2769715
Buffer Information
Store at -20℃. Avoid freeze / thaw cycles. Buffer: PBS containing 50% glycerol, preserved with proclin300 or sodium azide, pH 7.3.
Western blot analysis of lysates from BT-474 cells, using GTF2I Rabbit pAb (CAB7898) at 1:500 dilution. Secondary antibody: HRP-conjugated Goat anti-Rabbit IgG (H+L) (CABS014) at 1:10000 dilution. Lysates/proteins: 25μg per lane. Blocking buffer: 3% nonfat dry milk in TBST. Detection: ECL Basic Kit (AbGn00020). Exposure time: 90s.
Western blot analysis of lysates from mouse brain, using GTF2I Rabbit pAb (CAB7898) at 1:500 dilution. Secondary antibody: HRP-conjugated Goat anti-Rabbit IgG (H+L) (CABS014) at 1:10000 dilution. Lysates/proteins: 25μg per lane. Blocking buffer: 3% nonfat dry milk in TBST. Detection: ECL Enhanced Kit (AbGn00021). Exposure time: 90s.
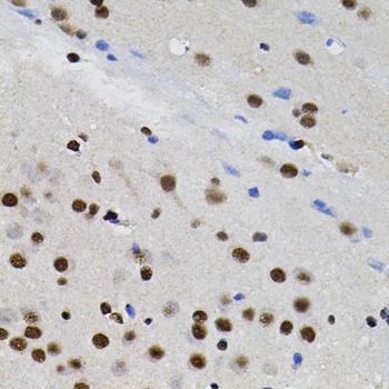
Immunohistochemistry analysis of paraffin-embedded Rat brain using GTF2I Rabbit pAb (CAB7898) (40x lens). Microwave antigen retrieval performed with 0.01M PBS Buffer (pH 7.2) prior to IHC staining.
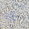
Immunohistochemistry analysis of paraffin-embedded Rat kidney using GTF2I Rabbit pAb (CAB7898) (40x lens). Microwave antigen retrieval performed with 0.01M PBS Buffer (pH 7.2) prior to IHC staining.