The GDA Antibody (CAB6441) is a high-quality antibody developed for reliable detection and analysis of target proteins. This antibody, generated in rabbits, exhibits high reactivity with human samples and is suitable for Western blot applications, enabling the detection and analysis of guanine deaminase in various biological samples.Guanine deaminase plays a key role in the purine salvage pathway, converting guanine to xanthine and ammonia. Dysregulation of this enzyme has been implicated in various diseases, including metabolic disorders and cancer.
This antibody is validated for use in WB, ELISA applications and has demonstrated reactivity against Human, Mouse, Rat samples.
Product Name:
GDA Antibody
SKU:
CAB6441
Size:
20μL, 100μL
Reactivity:
Human, Mouse, Rat
Conjugate:
Unconjugated
Immunogen:
Recombinant protein (or fragment).This information is considered to be commercially sensitive.
Recommended starting concentration is 1 μg/mL. Please optimize the concentration based on your specific assay requirements.
Synonyms:
GAH, CYPIN, GUANASE, NEDASIN, GDA
Positive Sample:
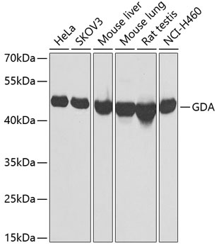
HeLa, SKOV3, mouse liver, mouse brain, rat brain, Mouse lung, Rat testis, NCI-H460
Cellular Localization:
Cytosol.
Calculated MW:
51kDa
Observed MW:
51kDa
This gene encodes an enzyme responsible for the hydrolytic deamination of guanine. Studies in rat ortholog suggest this gene plays a role in microtubule assembly. Multiple transcript variants encoding different isoforms have been found for this gene.
Purification Method
Affinity purification
Gene ID
9615
RRID
AB_2767043
Buffer Information
Store at -20℃. Avoid freeze / thaw cycles. Buffer: PBS containing 50% glycerol, preserved with proclin300 or sodium azide, pH 7.3.
Western blot analysis of various lysates using GDA Rabbit pAb (CAB6441) at 1:1000 dilution. Secondary antibody: HRP-conjugated Goat anti-Rabbit IgG (H+L) (CABS014) at 1:10000 dilution. Lysates/proteins: 25μg per lane. Blocking buffer: 3% nonfat dry milk in TBST. Detection: ECL Basic Kit (AbGn00020). Exposure time: 30s.