The GULP1 Antibody (CAB3432) is a high-quality antibody developed for reliable detection and analysis of target proteins. This antibody is produced in rabbits and has been validated for use in Western blot applications with human samples. By binding specifically to the Gulp1 protein, researchers can effectively detect and analyze its expression in different cell types.Gulp1, also known as GULP PTB domain containing adaptor protein 1, is essential for the regulation of various cellular processes, including endocytosis and autophagosome formation.
This antibody is validated for use in WB, IHC-P, ELISA applications and has demonstrated reactivity against Human, Mouse, Rat samples.
Product Name:
GULP1 Antibody
SKU:
CAB3432
Size:
20μL, 100μL
Reactivity:
Human, Mouse, Rat
Conjugate:
Unconjugated
Immunogen:
Recombinant protein (or fragment).This information is considered to be commercially sensitive.
Recommended starting concentration is 1 μg/mL. Please optimize the concentration based on your specific assay requirements.
Synonyms:
CED6, GULP, CED-6, GULP1
Positive Sample:
HT-29, 293T, Mouse lung, Rat brain
Cellular Localization:
Cytoplasm.
Calculated MW:
34kDa
Observed MW:
34kDa
The protein encoded by this gene is an adapter protein necessary for the engulfment of apoptotic cells by phagocytes. Several transcript variants, some protein coding and some thought not to be protein coding, have been found for this gene.
Purification Method
Affinity purification
Gene ID
51454
RRID
AB_2765109
Buffer Information
Store at -20℃. Avoid freeze / thaw cycles. Buffer: PBS with 0.01% thimerosal,50% glycerol,pH7.3.
Western blot analysis of various lysates using GULP1 Rabbit pAb (CAB3432) at 1:3000 dilution. Secondary antibody: HRP-conjugated Goat anti-Rabbit IgG (H+L) (CABS014) at 1:10000 dilution. Lysates/proteins: 25μg per lane. Blocking buffer: 3% nonfat dry milk in TBST. Detection: ECL Enhanced Kit (AbGn00021). Exposure time: 90s.
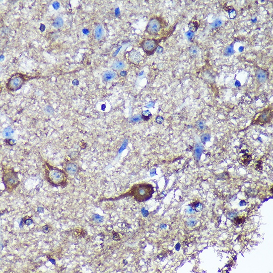
Immunohistochemistry analysis of paraffin-embedded Mouse spinal cord using GULP1 Rabbit pAb (CAB3432) at dilution of 1:100 (40x lens). Microwave antigen retrieval performed with 0.01M PBS Buffer (pH 7.2) prior to IHC staining.
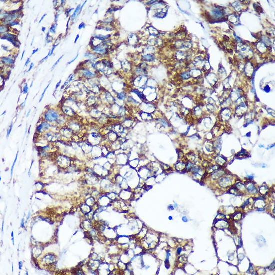
Immunohistochemistry analysis of paraffin-embedded Human colon carcinoma using GULP1 Rabbit pAb (CAB3432) at dilution of 1:100 (40x lens). Microwave antigen retrieval performed with 0.01M PBS Buffer (pH 7.2) prior to IHC staining.