null
100% Quality Guarantee
PhD-Level Technical Support
Key Features

HACE1 Rabbit Polyclonal Antibody (CAB9593)

SKU CAB9593
Product Type Antibody
Antibody Type Polyclonal Antibody
Reactivity Human, Mouse, Rat
Host Species Rabbit
Synonyms SPPRS, HACE1
Research Use Cell Cycle
$127 - $488
Global Shipping: 80+ Countries
White Glove Service: Available upon request
Batch Consistency: Contact Sales
Distributors: 60+ Countries

Description

system_update_altDatasheetsystem_update_altMSDS

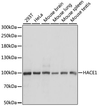
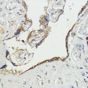
HACE1 Antibody (CAB9593)

The HACE1 Antibody (CAB9593) is a high-quality antibody developed for reliable detection and analysis of target proteins. HACE1 is a HECT domain-containing E3 ubiquitin ligase that plays a role in ubiquitin-mediated protein degradation and is involved in various cellular processes, including cell cycle regulation and tumor suppression. This polyclonal antibody, produced in rabbits, is highly specific to human HACE1 and has been validated for use in Western blotting applications. By binding to HACE1, this antibody allows for the detection and analysis of HACE1 protein levels in different cell types, making it ideal for studies in cancer research and cellular biology.

This antibody is validated for use in WB, IHC-P, ELISA applications and has demonstrated reactivity against Human, Mouse, Rat samples.

0 Reviews

0
Based on 0 reviews

No reviews yet. Be the first to share your experience!

View AllClose