The USP7/HAUSP Monoclonal Antibody (CAB3448) is a high-quality antibody developed for reliable detection and analysis of target proteins. Validated for use in Western blot applications, this antibody binds specifically to the HAUSP/USP7 protein, enabling accurate detection and analysis in different cell types.
This antibody is validated for use in WB, IHC-P, ELISA applications and has demonstrated reactivity against Human, Mouse, Rat samples.
Product Name:
USP7/HAUSP Monoclonal Antibody
SKU:
CAB3448
Size:
20μL, 100μL
Reactivity:
Human, Mouse, Rat
Clone Number:
ARC0777
Conjugate:
Unconjugated
Immunogen:
Recombinant protein (or fragment).This information is considered to be commercially sensitive.
HeLa, MCF7, PC-3, Mouse testis, Mouse brain, Rat testis, Rat brain
Cellular Localization:
Cytoplasm, Nucleus, Pml Body.
Calculated MW:
128kDa
Observed MW:
140kDa
The protein encoded by this gene belongs to the peptidase C19 family, which includes ubiquitinyl hydrolases. This protein deubiquitinates target proteins such as p53 (a tumor suppressor protein) and WASH (essential for endosomal protein recycling), and regulates their activities by counteracting the opposing ubiquitin ligase activity of proteins such as HDM2 and TRIM27, involved in the respective process. Mutations in this gene have been implicated in a neurodevelopmental disorder.
Purification Method
Affinity purification
Gene ID
7874
RRID
AB_2863060
Buffer Information
Store at -20℃. Avoid freeze / thaw cycles. Buffer: PBS containing 50% glycerol and 0.05% BSA, preserved with proclin300 or sodium azide, pH 7.3.
Western blot analysis of various lysates using USP7/HAUSP Rabbit mAb (CAB3448) at 1:1000 dilution. Secondary antibody: HRP-conjugated Goat anti-Rabbit IgG (H+L) (CABS014) at 1:10000 dilution. Lysates/proteins: 25μg per lane. Blocking buffer: 3% nonfat dry milk in TBST. Detection: ECL Basic Kit (AbGn00020). Exposure time: 10s.
Immunohistochemistry analysis of paraffin-embedded Human colon carcinoma tissue using USP7/HAUSP Rabbit mAb (CAB3448) at a dilution of 1:200 (40x lens). High pressure antigen retrieval performed with 0.01M Citrate buffer (pH 6.0) prior to IHC staining.
Immunohistochemistry analysis of paraffin-embedded Human thyroid cancer tissue using USP7/HAUSP Rabbit mAb (CAB3448) at a dilution of 1:200 (40x lens). High pressure antigen retrieval performed with 0.01M Citrate buffer (pH 6.0) prior to IHC staining.
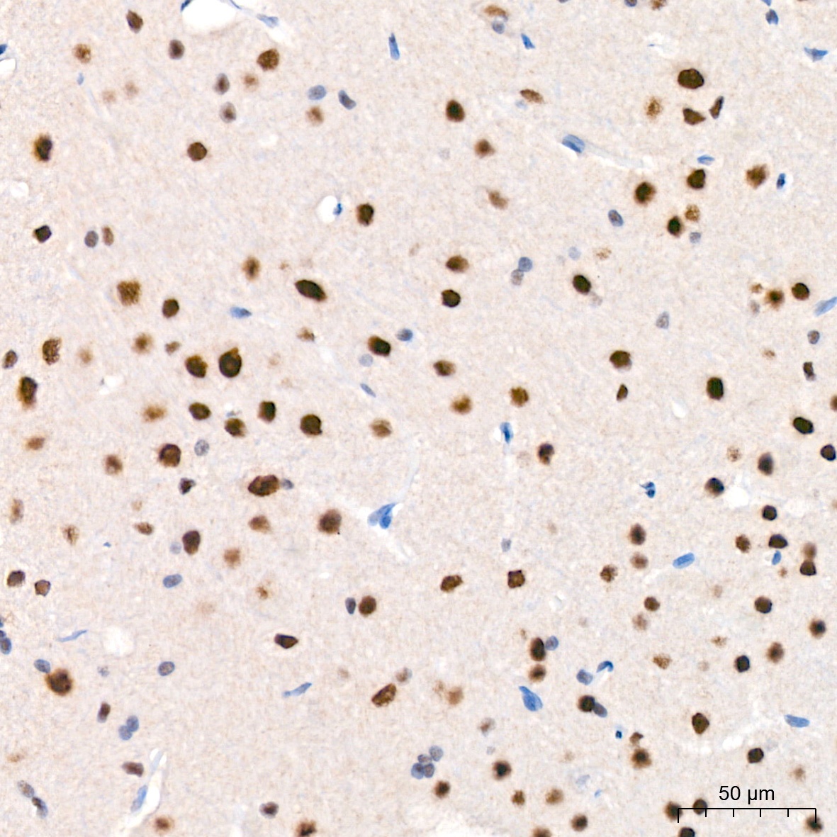
Immunohistochemistry analysis of paraffin-embedded Mouse brain tissue using USP7/HAUSP Rabbit mAb (CAB3448) at a dilution of 1:200 (40x lens). High pressure antigen retrieval performed with 0.01M Citrate buffer (pH 6.0) prior to IHC staining.
Immunohistochemistry analysis of paraffin-embedded Rat brain tissue using USP7/HAUSP Rabbit mAb (CAB3448) at a dilution of 1:200 (40x lens). High pressure antigen retrieval performed with 0.01M Citrate buffer (pH 6.0) prior to IHC staining.
Immunohistochemistry analysis of paraffin-embedded Rat colon tissue using USP7/HAUSP Rabbit mAb (CAB3448) at a dilution of 1:200 (40x lens). High pressure antigen retrieval performed with 0.01M Citrate buffer (pH 6.0) prior to IHC staining.