The HCAR3 Antibody (CAB18400) is a high-quality antibody developed for reliable detection and analysis of target proteins. This antibody, raised in rabbits, has high specificity for human samples and has been validated for use in Western blot applications. By binding to the HCAR3 protein, this antibody allows for the detection and analysis of HCAR3 in various cell types, making it an essential tool for studies in metabolism, immunology, and obesity research.HCAR3, also known as hydroxycarboxylic acid receptor 3, is involved in sensing dietary and microbial metabolites, leading to the activation of signaling pathways that influence metabolism and inflammation.
This antibody is validated for use in WB, IHC-P, ELISA applications and has demonstrated reactivity against Human, Mouse, Rat samples.
Product Name:
HCAR3 Antibody
SKU:
CAB18400
Size:
20μL, 100μL
Reactivity:
Human, Mouse, Rat
Immunogen:
Synthetic peptide. This information is considered to be commercially sensitive.
Recommended starting concentration is 1 μg/mL. Please optimize the concentration based on your specific assay requirements.
Synonyms:
HCA3, HM74, PUMAG, Puma-g, GPR109B, HCAR3
Positive Sample:
Rat pancreas
Cellular Localization:
Cell Junction, Plasma Membrane.
Calculated MW:
44kDa
Observed MW:
44kDa
Predicted to enable GTP binding activity and purinergic nucleotide receptor activity. Predicted to be involved in G protein-coupled receptor signaling pathway. Located in cell junction.
Purification Method
Affinity purification
Gene ID
8843
RRID
AB_2862167
Buffer Information
Store at -20℃. Avoid freeze / thaw cycles. Buffer: PBS with 0.01% thimerosal,50% glycerol,pH7.3.
Western blot analysis of lysates from Rat pancreas, using HCAR3 Rabbit pAb (CAB18400) at 1:1000 dilution. Secondary antibody: HRP-conjugated Goat anti-Rabbit IgG (H+L) (CABS014) at 1:10000 dilution. Lysates/proteins: 25μg per lane. Blocking buffer: 3% nonfat dry milk in TBST. Detection: ECL Basic Kit (AbGn00020). Exposure time: 120s.
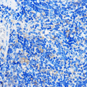
Immunohistochemistry analysis of paraffin-embedded Mouse spleen using HCAR3 Rabbit pAb (CAB18400) at dilution of 1:100 (40x lens). Microwave antigen retrieval performed with 0.01M PBS Buffer (pH 7.2) prior to IHC staining.
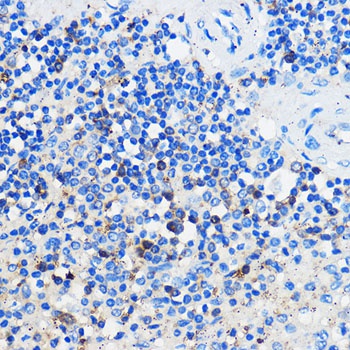
Immunohistochemistry analysis of paraffin-embedded Human spleen using HCAR3 Rabbit pAb (CAB18400) at dilution of 1:100 (40x lens). Microwave antigen retrieval performed with 0.01M PBS Buffer (pH 7.2) prior to IHC staining.