The HDAC6 Antibody (CAB11259) is a high-quality antibody developed for reliable detection and analysis of target proteins. Raised in rabbits, this antibody exhibits high reactivity with human samples and has been validated for use in Western blot applications.HDAC6 is known for its role in regulating gene expression, protein degradation, and cellular stress responses. Dysregulation of HDAC6 has been implicated in various diseases, including cancer, neurodegenerative disorders, and inflammatory conditions.
This antibody is validated for use in WB, IHC-P, IF/ICC, IP, ELISA applications and has demonstrated reactivity against Human, Mouse, Rat samples.
Product Name:
HDAC6 Antibody
SKU:
CAB11259
Size:
20μL, 100μL
Reactivity:
Human, Mouse, Rat
Conjugate:
Unconjugated
Immunogen:
Recombinant protein (or fragment).This information is considered to be commercially sensitive.
Histones play a critical role in transcriptional regulation, cell cycle progression, and developmental events. Histone acetylation/deacetylation alters chromosome structure and affects transcription factor access to DNA. The protein encoded by this gene belongs to class II of the histone deacetylase/acuc/apha family. It contains an internal duplication of two catalytic domains which appear to function independently of each other. This protein possesses histone deacetylase activity and represses transcription.
Purification Method
Affinity purification
Gene ID
10013
RRID
AB_2758479
Buffer Information
Store at -20℃. Avoid freeze / thaw cycles. Buffer: PBS containing 50% glycerol, preserved with proclin300 or sodium azide, pH 7.3.
Western blot analysis of lysates from Rat liver, using HDAC6 Rabbit pAb (CAB11259) at 1:500 dilution. Secondary antibody: HRP-conjugated Goat anti-Rabbit IgG (H+L) (CABS014) at 1:10000 dilution. Lysates/proteins: 25μg per lane. Blocking buffer: 3% nonfat dry milk in TBST. Detection: ECL Basic Kit (AbGn00020). Exposure time: 1s.
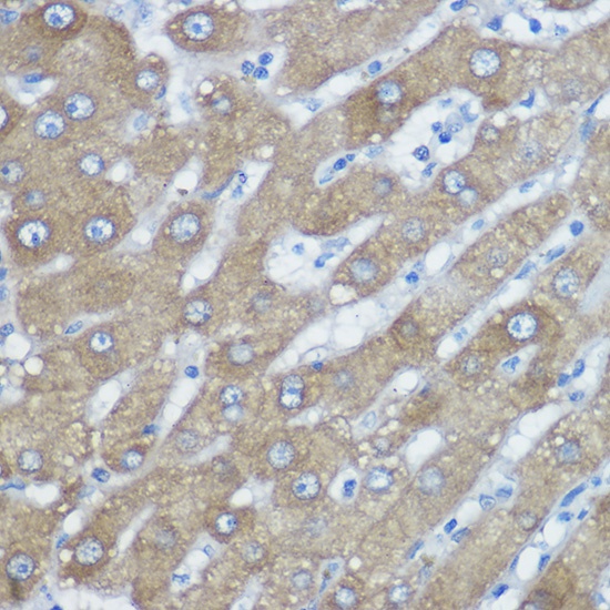
Immunohistochemistry analysis of paraffin-embedded Human liver using HDAC6 Rabbit pAb (CAB11259) at dilution of 1:400 (40x lens). High pressure antigen retrieval performed with 0.01M Citrate buffer (pH 6.0) prior to IHC staining.
Immunofluorescence analysis of L929 cells using HDAC6 Rabbit pAb(CAB11259) at a dilution of 1:100 (40x lens). Secondary antibody: Cy3-conjugated Goat anti-Rabbit IgG (H+L) (CABS007) at 1:500 dilution. Blue: DAPI for nuclear staining.
Immunoprecipitation analysis of 100 μg extracts of HepG2 cells using 3 μg HDAC6 antibody (CAB11259). Western blot was performed from the immunoprecipitate using HDAC6 antibody (CAB11259) at a dilution of 1:1000.