The HDLBP Antibody (CAB6028) is a high-quality antibody developed for reliable detection and analysis of target proteins. This antibody, generated in rabbits, exhibits high reactivity with human samples and is validated for use in Western blot applications.HDLBP is known to play a role in lipid metabolism and is an important component in the transport of cholesterol in the bloodstream. It has also been implicated in various cellular processes, including RNA-binding and gene expression regulation. Understanding the functions of HDLBP is crucial for investigating its involvement in diseases related to lipid metabolism, such as cardiovascular disorders and metabolic syndromes.
This antibody is validated for use in WB, IHC-P, IF/ICC, ELISA applications and has demonstrated reactivity against Human, Mouse, Rat samples.
Product Name:
HDLBP Antibody
SKU:
CAB6028
Size:
20μL, 100μL
Reactivity:
Human, Mouse, Rat
Conjugate:
Unconjugated
Immunogen:
Recombinant protein (or fragment).This information is considered to be commercially sensitive.
Recommended starting concentration is 1 μg/mL. Please optimize the concentration based on your specific assay requirements.
Synonyms:
HBP, VGL, PRO2900, HDLBP
Positive Sample:
HeLa, Jurkat, HepG2, Mouse brain, NIH/3T3, Mouse heart, Rat liver
Cellular Localization:
Cytoplasm, Nucleus.
Calculated MW:
141kDa
Observed MW:
150kDa
The protein encoded by this gene binds high density lipoprotein (HDL) and may function to regulate excess cholesterol levels in cells. The encoded protein also binds RNA and can induce heterochromatin formation.
Purification Method
Affinity purification
Gene ID
3069
RRID
AB_2766720
Buffer Information
Store at -20℃. Avoid freeze / thaw cycles. Buffer: PBS with 0.01% thimerosal,50% glycerol,pH7.3.
Western blot analysis of various lysates using HDLBP Rabbit pAb (CAB6028) at 1:3000 dilution. Secondary antibody: HRP-conjugated Goat anti-Rabbit IgG (H+L) (CABS014) at 1:10000 dilution. Lysates/proteins: 25μg per lane. Blocking buffer: 3% nonfat dry milk in TBST. Detection: ECL Basic Kit (AbGn00020). Exposure time: 30s.
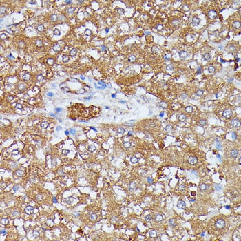
Immunohistochemistry analysis of paraffin-embedded Rat liver using HDLBP Rabbit pAb (CAB6028) at dilution of 1:100 (40x lens). Microwave antigen retrieval performed with 0.01M PBS Buffer (pH 7.2) prior to IHC staining.
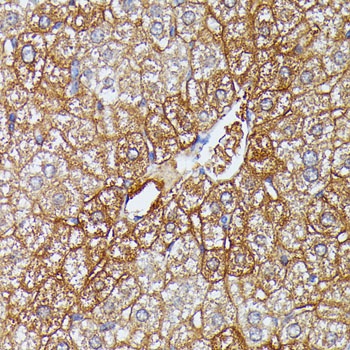
Immunohistochemistry analysis of paraffin-embedded Mouse liver using HDLBP Rabbit pAb (CAB6028) at dilution of 1:100 (40x lens). Microwave antigen retrieval performed with 0.01M PBS Buffer (pH 7.2) prior to IHC staining.
Immunofluorescence analysis of L929 cells using HDLBP Rabbit pAb (CAB6028) at dilution of 1:100 (40x lens). Secondary antibody: Cy3-conjugated Goat anti-Rabbit IgG (H+L) (CABS007) at 1:500 dilution. Blue: DAPI for nuclear staining.