The HFM1 Antibody (CAB8600) is a high-quality antibody developed for reliable detection and analysis of target proteins. This antibody, produced in rabbits, exhibits high reactivity with human samples and has been validated for Western blot applications, allowing for precise detection and analysis of the HFM1 protein in various cell types.HFM1 is a crucial factor in the process of homologous recombination, a mechanism essential for the repair of DNA double-strand breaks.
This antibody is validated for use in WB, IHC-P, ELISA applications and has demonstrated reactivity against Human, Mouse, Rat samples.
Product Name:
HFM1 Antibody
SKU:
CAB8600
Size:
20μL, 100μL
Reactivity:
Human, Mouse, Rat
Conjugate:
Unconjugated
Immunogen:
Recombinant protein (or fragment).This information is considered to be commercially sensitive.
The protein encoded by this gene is thought to be an ATP-dependent DNA helicase and is expressed mainly in germ-line cells. Defects in this gene are a cause of premature ovarian failure 9 (POF9).
Purification Method
Affinity purification
Gene ID
164045
RRID
AB_2769772
Buffer Information
Store at -20℃. Avoid freeze / thaw cycles. Buffer: PBS containing 50% glycerol, preserved with proclin300 or sodium azide, pH 7.3.
Western blot analysis of lysates from K-562 cells, using HFM1 Rabbit pAb (CAB8600) at 1:500 dilution. Secondary antibody: HRP-conjugated Goat anti-Rabbit IgG (H+L) (CABS014) at 1:10000 dilution. Lysates/proteins: 25μg per lane. Blocking buffer: 3% nonfat dry milk in TBST. Detection: ECL Basic Kit (AbGn00020). Exposure time: 90s.
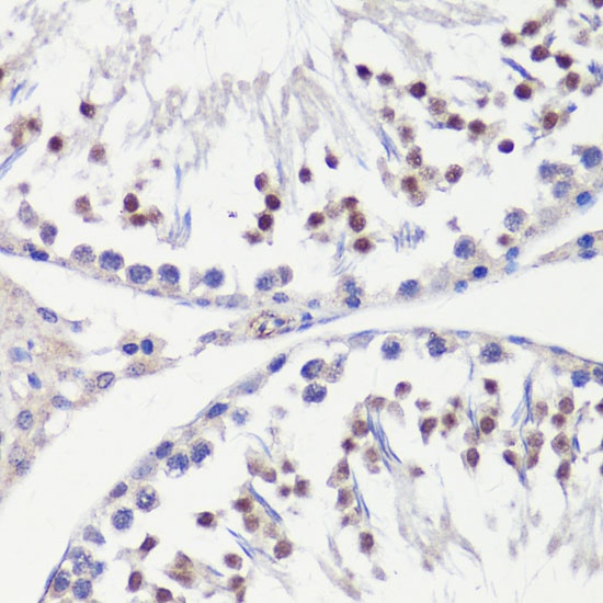
Immunohistochemistry analysis of paraffin-embedded Rat testis using HFM1 Rabbit pAb (CAB8600) at dilution of 1:100 (40x lens). Microwave antigen retrieval performed with 0.01M PBS Buffer (pH 7.2) prior to IHC staining.