The HHLA2 Antibody (CAB13262) is a high-quality antibody developed for reliable detection and analysis of target proteins. Raised in rabbits, this antibody is highly specific to human samples and has been validated for use in Western blot applications. By binding to the HHLA2 protein, researchers can accurately detect and analyze its expression in various cell types, making it ideal for studies in immunology and cancer research.HHLA2, also known as B7H7, plays a critical role in immune regulation by modulating T cell responses and promoting immune tolerance.
This antibody is validated for use in WB, IHC-P, ELISA applications and has demonstrated reactivity against Human samples.
Product Name:
HHLA2 Antibody
SKU:
CAB13262
Size:
20μL, 100μL
Reactivity:
Human
Conjugate:
Unconjugated
Immunogen:
Recombinant protein (or fragment).This information is considered to be commercially sensitive.
Recommended starting concentration is 1 μg/mL. Please optimize the concentration based on your specific assay requirements.
Synonyms:
B7y, B7H7, B7-H5, B7-H7, HHLA2
Positive Sample:
A-204, HepG2(Negative control), MDA-MB-231
Cellular Localization:
Membrane, Single-Pass Type I Membrane Protein.
Calculated MW:
47kDa
Observed MW:
70-80kDa
This gene encodes a protein ligand found on the surface of monocytes. The encoded protein is thought to regulate cell-mediated immunity by binding to a receptor on T lymphocytes and inhibiting the proliferation of these cells. Alternate splicing results in multiple transcript variants.
Purification Method
Affinity purification
Gene ID
11148
RRID
AB_2760115
Buffer Information
Store at -20℃. Avoid freeze / thaw cycles. Buffer: PBS containing 50% glycerol, preserved with proclin300 or sodium azide, pH 7.3.
Western blot analysis of various lysates, using HHLA2 Rabbit pAb (CAB13262) at 1:3500 dilution. Secondary antibody: HRP-conjugated Goat anti-Rabbit IgG (H+L) (CABS014) at 1:10000 dilution. Lysates/proteins: 25μg per lane. Blocking buffer: 3% nonfat dry milk in TBST. Detection: ECL Basic Kit (AbGn00020). Exposure time: 60s.
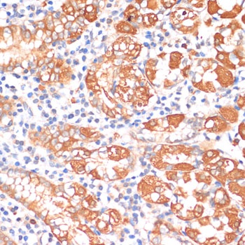
Immunohistochemistry analysis of paraffin-embedded Human colon using HHLA2 Rabbit pAb (CAB13262) at dilution of 1:100 (40x lens). Microwave antigen retrieval performed with 0.01M PBS Buffer (pH 7.2) prior to IHC staining.
Immunohistochemistry analysis of paraffin-embedded Human stomach using HHLA2 Rabbit pAb (CAB13262) at dilution of 1:100 (40x lens). Microwave antigen retrieval performed with 0.01M PBS Buffer (pH 7.2) prior to IHC staining.