The HMGCL Antibody (CAB8052) is a high-quality antibody developed for reliable detection and analysis of target proteins. This antibody, produced in rabbits, demonstrates high reactivity with human samples and is validated for use in Western blot analyses.HMGCL plays a crucial role in breaking down fats for energy production, making it a key target for studying metabolic disorders like ketosis and hypercholesterolemia. By binding to the HMGCL protein, this antibody enables accurate detection and analysis in a variety of cell types, making it ideal for research in metabolism, lipid metabolism disorders, and mitochondrial diseases.
This antibody is validated for use in WB, IHC-P, ELISA applications and has demonstrated reactivity against Human, Mouse, Rat samples.
Product Name:
HMGCL Antibody
SKU:
CAB8052
Size:
20μL, 100μL
Reactivity:
Human, Mouse, Rat
Conjugate:
Unconjugated
Immunogen:
Recombinant protein (or fragment).This information is considered to be commercially sensitive.
The protein encoded by this gene belongs to the HMG-CoA lyase family. It is a mitochondrial enzyme that catalyzes the final step of leucine degradation and plays a key role in ketone body formation. Mutations in this gene are associated with HMG-CoA lyase deficiency. Alternatively spliced transcript variants encoding different isoforms have been found for this gene.
Purification Method
Affinity purification
Gene ID
3155
RRID
AB_2769810
Buffer Information
Store at -20℃. Avoid freeze / thaw cycles. Buffer: PBS containing 50% glycerol, preserved with proclin300 or sodium azide, pH 7.3.
Western blot analysis of various lysates using HMGCL Rabbit pAb (CAB8052) at 1:1000 dilution. Secondary antibody: HRP-conjugated Goat anti-Rabbit IgG (H+L) (CABS014) at 1:10000 dilution. Lysates/proteins: 25μg per lane. Blocking buffer: 3% nonfat dry milk in TBST. Detection: ECL Enhanced Kit (AbGn00021). Exposure time: 15s.
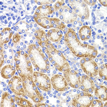
Immunohistochemistry analysis of paraffin-embedded Rat kidney using HMGCL Rabbit pAb (CAB8052) at dilution of 1:100 (40x lens). Microwave antigen retrieval performed with 0.01M PBS Buffer (pH 7.2) prior to IHC staining.
Immunohistochemistry analysis of paraffin-embedded Human kidney using HMGCL Rabbit pAb (CAB8052) at dilution of 1:100 (40x lens). Microwave antigen retrieval performed with 0.01M PBS Buffer (pH 7.2) prior to IHC staining.