The hnRNP U Antibody (CAB3917) is a high-quality antibody developed for reliable detection and analysis of target proteins. This antibody, produced in rabbits, exhibits high specificity and sensitivity towards human samples, making it an ideal choice for Western blot applications.HNRNPU, also known as heterogeneous nuclear ribonucleoprotein U, is a key player in gene expression regulation and has been implicated in a wide range of biological functions, such as DNA damage response, chromatin organization, and development.
This antibody is validated for use in WB, IHC-P, IF/ICC, IP, ELISA applications and has demonstrated reactivity against Human, Mouse, Rat samples.
Product Name:
hnRNP U Antibody
SKU:
CAB3917
Size:
20μL, 100μL
Reactivity:
Human, Mouse, Rat
Conjugate:
Unconjugated
Immunogen:
Recombinant protein (or fragment).This information is considered to be commercially sensitive.
This gene encodes a member of a family of proteins that bind nucleic acids and function in the formation of ribonucleoprotein complexes in the nucleus with heterogeneous nuclear RNA (hnRNA). The encoded protein has affinity for both RNA and DNA, and binds scaffold-attached region (SAR) DNA. Mutations in this gene have been associated with epileptic encephalopathy, early infantile, 54. A pseudogene of this gene has been identified on chromosome 14.
Purification Method
Affinity purification
Gene ID
3192
RRID
AB_2765383
Buffer Information
Store at -20℃. Avoid freeze / thaw cycles. Buffer: PBS with 0.01% thimerosal,50% glycerol,pH7.3.
Western blot analysis of various lysates using hnRNP U Rabbit pAb (CAB3917) at 1:3000 dilution. Secondary antibody: HRP-conjugated Goat anti-Rabbit IgG (H+L) (CABS014) at 1:10000 dilution. Lysates/proteins: 25μg per lane. Blocking buffer: 3% nonfat dry milk in TBST. Detection: ECL Basic Kit (AbGn00020). Exposure time: 90s.
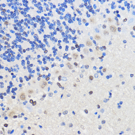
Immunohistochemistry analysis of paraffin-embedded Mouse brain using hnRNP U Rabbit pAb (CAB3917) at dilution of 1:50 (40x lens). Microwave antigen retrieval performed with 0.01M PBS Buffer (pH 7.2) prior to IHC staining.
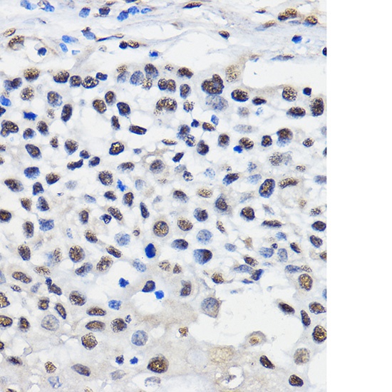
Immunohistochemistry analysis of paraffin-embedded Human esophageal cancer using hnRNP U Rabbit pAb (CAB3917) at dilution of 1:50 (40x lens). Microwave antigen retrieval performed with 0.01M PBS Buffer (pH 7.2) prior to IHC staining.
Immunofluorescence analysis of C6 cells using hnRNP U Rabbit pAb (CAB3917) at dilution of 1:100. Secondary antibody: Cy3-conjugated Goat anti-Rabbit IgG (H+L) (CABS007) at 1:500 dilution. Blue: DAPI for nuclear staining.