Hp Antibody is a premium polyclonal that offers outstanding performance and reliability for demanding research applications. Rigorously validated for ELISA, WB, IHC, this antibody ensures consistent, reproducible results across multiple experimental platforms. Demonstrates excellent reactivity with Rat samples, providing researchers with confidence in cross-species compatibility. Conveniently packaged in 50ug format to meet your experimental needs. For optimal performance, store at -20°C or -80°C and maintains stability for 12 months. Backed by rigorous quality control testing to ensure superior performance in your critical research applications.
Product Name:
Hp Antibody
SKU:
PACO33768
Size:
50μg
Isotype:
IgG
Host Species:
Rabbit
Reactivity:
Rat
Immunogen:
Recombinant Rat Haptoglobin protein (19-346AA)
Immunogen Species:
Rattus norvegicus (Rat)
Uniprot No:
P06866
Form:
Liquid
Tested Applications:
ELISAWBIHC
Recommended Dilution:
Application
Recommended Dilution
WB
1:1000-1:5000
IHC
1:20-1:200
Synonyms:
Hp antibody, Ba1-647 antibody, Haptoglobin antibody, Liver regeneration-related protein LRRG173) [Cleaved into: Haptoglobin alpha chain, Haptoglobin beta chain] antibody
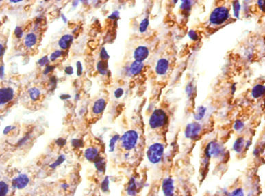
Western blot All lanes: Hp antibody at 2µg/ml + Rat live tissue Secondary Goat polyclonal to rabbit IgG at 1/10000 dilution Predicted band size: 39, 43 kDa Observed band size: 39 kDa
Immunohistochemistry of paraffin-embedded mouse liver tissue using PACO33768 at dilution of 1:50