The HSF1 Antibody (CAB13765) is a high-quality antibody developed for reliable detection and analysis of target proteins. This antibody, produced in rabbits, is highly specific for detecting HSF1 in human samples and has been validated for use in Western blot applications.HSF1 plays a critical role in protecting cells from stress-induced damage by activating the expression of heat shock proteins.
This antibody is validated for use in WB, IHC-P, IF/ICC, ELISA applications and has demonstrated reactivity against Human, Mouse, Rat samples.
Product Name:
HSF1 Antibody
SKU:
CAB13765
Size:
20μL, 100μL
Reactivity:
Human, Mouse, Rat
Conjugate:
Unconjugated
Immunogen:
Recombinant protein (or fragment).This information is considered to be commercially sensitive.
Recommended starting concentration is 1 μg/mL. Please optimize the concentration based on your specific assay requirements.
Synonyms:
HSTF1, HSF1
Positive Sample:
HeLa, K-562, HepG2, MCF7
Cellular Localization:
Cytoplasm, Nucleus.
Calculated MW:
57kDa
Observed MW:
90kDa
The product of this gene is a transcription factor that is rapidly induced after temperature stress and binds heat shock promoter elements (HSE). This protein plays a role in the regulation of lifespan. Expression of this gene is repressed by phosphorylation, which promotes binding by heat shock protein 90.
Purification Method
Affinity purification
Gene ID
3297
RRID
AB_2760623
Buffer Information
Store at -20℃. Avoid freeze / thaw cycles. Buffer: PBS with 0.01% thimerosal,50% glycerol,pH7.3.
Western blot analysis of various lysates using HSF1 Rabbit pAb (CAB13765) at 1:3000 dilution. Secondary antibody: HRP-conjugated Goat anti-Rabbit IgG (H+L) (CABS014) at 1:10000 dilution. Lysates/proteins: 25μg per lane. Blocking buffer: 3% nonfat dry milk in TBST. Detection: ECL Basic Kit (AbGn00020). Exposure time: 90s.
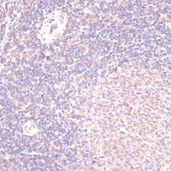
Immunohistochemistry analysis of paraffin-embedded Rat spleen using HSF1 Rabbit pAb (CAB13765) at dilution of 1:100 (40x lens). Microwave antigen retrieval performed with 0.01M PBS Buffer (pH 7.2) prior to IHC staining.
Immunofluorescence analysis of L929 cells using HSF1 Rabbit pAb (CAB13765) at dilution of 1:100. Blue: DAPI for nuclear staining.
Immunofluorescence analysis of U2OS cells using HSF1 Rabbit pAb (CAB13765) at dilution of 1:100. Blue: DAPI for nuclear staining.