The HSPA6 Antibody (CAB7688) is a high-quality antibody developed for reliable detection and analysis of target proteins. This antibody, developed in rabbits, exhibits high reactivity towards human samples and has been validated for use in Western blot applications. By specifically binding to the HSPA6 protein, this antibody enables the detection and analysis of HSPA6 in a variety of cell types, making it an ideal choice for investigations in the fields of molecular biology and cell biology.HSPA6, a member of the Hsp70 family, is known to play a crucial role in protecting cells from stress-induced damage by assisting in protein folding and preventing protein aggregation. Its functions are essential for maintaining cellular homeostasis and promoting cell survival under adverse conditions.
This antibody is validated for use in WB, IHC-P, ELISA applications and has demonstrated reactivity against Human, Mouse, Rat samples.
Product Name:
HSPA6 Antibody
SKU:
CAB7688
Size:
20μL, 100μL
Reactivity:
Human, Mouse, Rat
Conjugate:
Unconjugated
Immunogen:
Recombinant protein (or fragment).This information is considered to be commercially sensitive.
Enables enzyme binding activity; heat shock protein binding activity; and unfolded protein binding activity. Involved in cellular response to heat and protein refolding. Located in centriole and cytosol. Colocalizes with COP9 signalosome.
Purification Method
Affinity purification
Gene ID
3310
RRID
AB_2769892
Buffer Information
Store at -20℃. Avoid freeze / thaw cycles. Buffer: PBS containing 50% glycerol, preserved with proclin300 or sodium azide, pH 7.3.
Western blot analysis of various lysates using HSPA6 Rabbit pAb (CAB7688) at 1:1000 dilution. Secondary antibody: HRP-conjugated Goat anti-Rabbit IgG (H+L) (CABS014) at 1:10000 dilution. Lysates/proteins: 25μg per lane. Blocking buffer: 3% nonfat dry milk in TBST. Detection: ECL Basic Kit (AbGn00020). Exposure time: 30s.
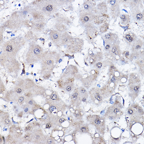
Immunohistochemistry analysis of paraffin-embedded Human liver using HSPA6 Rabbit pAb (CAB7688) at dilution of 1:100 (40x lens). High pressure antigen retrieval performed with 0.01M Citrate buffer (pH 6.0) prior to IHC staining.