The ICOSL Antibody (CAB7080) is a high-quality antibody developed for reliable detection and analysis of target proteins. This antibody is raised in rabbits and has been validated for use in Western blot applications, providing reliable detection and analysis of ICOS Ligand in human samples.ICOS Ligand, also known as Inducible T-cell Co-Stimulator Ligand, plays a crucial role in regulating T cell activation and immune responses. By binding to the ICOS receptor on T cells, ICOS Ligand activates signaling pathways that promote T cell proliferation and cytokine production, ultimately enhancing immune responses.
This antibody is validated for use in WB, IHC-P, ELISA applications and has demonstrated reactivity against Human, Mouse, Rat samples.
Product Name:
ICOSL Antibody
SKU:
CAB7080
Size:
20μL, 100μL
Reactivity:
Human, Mouse, Rat
Conjugate:
Unconjugated
Immunogen:
Recombinant protein (or fragment).This information is considered to be commercially sensitive.
Enables identical protein binding activity. Predicted to be involved in T cell receptor signaling pathway and positive regulation of interleukin-4 production. Located in cytoplasmic ribonucleoprotein granule and plasma membrane.
Purification Method
Affinity purification
Gene ID
23308
RRID
AB_2767635
Buffer Information
Store at -20℃. Avoid freeze / thaw cycles. Buffer: PBS with 0.09% Sodium azide,50% glycerol,pH7.3.
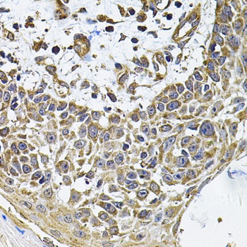
Immunohistochemistry analysis of paraffin-embedded Human skin carcinoma using ICOSL Rabbit pAb (CAB7080) at dilution of 1:100 (40x lens). Microwave antigen retrieval performed with 0.01M PBS Buffer (pH 7.2) prior to IHC staining.
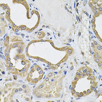
Immunohistochemistry analysis of paraffin-embedded Human kidney using ICOSL Rabbit pAb (CAB7080) at dilution of 1:100 (40x lens). Microwave antigen retrieval performed with 0.01M PBS Buffer (pH 7.2) prior to IHC staining.