The IFI44 Antibody (CAB8188) is a high-quality antibody developed for reliable detection and analysis of target proteins. This antibody, generated from rabbits, exhibits high reactivity with human samples and has been validated for use in Western blot applications. By specifically binding to the IFI44 protein, researchers can efficiently detect and analyze its expression in various cell types, making it ideal for studies in immunology, infectious diseases, and inflammatory conditions.IFI44 is known for its role in antiviral responses and immune regulation, making it a promising target for investigating viral infections, autoimmune diseases, and inflammatory disorders.
This antibody is validated for use in WB, IHC-P, IF/ICC, ELISA applications and has demonstrated reactivity against Human, Mouse, Rat samples.
Product Name:
IFI44 Antibody
SKU:
CAB8188
Size:
20μL, 100μL
Reactivity:
Human, Mouse, Rat
Conjugate:
Unconjugated
Immunogen:
Synthetic peptide. This information is considered to be commercially sensitive.
Recommended starting concentration is 1 μg/mL. Please optimize the concentration based on your specific assay requirements.
Synonyms:
p44, MTAP44, A430056A10Rik, IFI44
Positive Sample:
Jurkat, U-87MG, Mouse kidney
Cellular Localization:
Cytoplasm.
Calculated MW:
50kDa
Observed MW:
50kDa
Acts upstream of or within response to bacterium. Predicted to be located in cytoplasm. Is expressed in central nervous system and retina. Orthologous to human IFI44 (interferon induced protein 44).
Purification Method
Affinity purification
Gene ID
99899
RRID
AB_2769914
Buffer Information
Store at -20℃. Avoid freeze / thaw cycles. Buffer: PBS containing 50% glycerol, preserved with proclin300 or sodium azide, pH 7.3.
Western blot analysis of various lysates using IFI44 Rabbit pAb (CAB8188) at 1:1000 dilution. Secondary antibody: HRP-conjugated Goat anti-Rabbit IgG (H+L) (CABS014) at 1:10000 dilution. Lysates/proteins: 25μg per lane. Blocking buffer: 3% nonfat dry milk in TBST. Detection: ECL Basic Kit (AbGn00020). Exposure time: 30s.
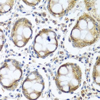
Immunohistochemistry analysis of paraffin-embedded Human colon using IFI44 Rabbit pAb (CAB8188) at dilution of 1:100 (40x lens). Microwave antigen retrieval performed with 0.01M PBS Buffer (pH 7.2) prior to IHC staining.
Immunofluorescence analysis of NIH/3T3 cells using IFI44 Rabbit pAb (CAB8188) at dilution of 1:50 (40x lens). Secondary antibody: Cy3-conjugated Goat anti-Rabbit IgG (H+L) (CABS007) at 1:500 dilution. Blue: DAPI for nuclear staining.
Immunofluorescence analysis of PC-12 cells using IFI44 Rabbit pAb (CAB8188) at dilution of 1:50 (40x lens). Secondary antibody: Cy3-conjugated Goat anti-Rabbit IgG (H+L) (CABS007) at 1:500 dilution. Blue: DAPI for nuclear staining.