The IFNLR1 Antibody (CAB10082) is a high-quality antibody developed for reliable detection and analysis of target proteins. This antibody, generated in rabbits, exhibits high reactivity with human samples and has been validated for use in Western blot applications. By specifically recognizing the IFNLR1 protein, this antibody enables accurate detection and analysis in various cell types, making it ideal for investigations in immunology and viral infection research.IFNLR1, also known as IFN-λ receptor 1, is essential for the signaling cascade triggered by Type III interferons, which play a crucial role in antiviral defense and immune response modulation.
This antibody is validated for use in WB, ELISA applications and has demonstrated reactivity against Human, Mouse, Rat samples.
Product Name:
IFNLR1 Antibody
SKU:
CAB10082
Size:
20μL, 100μL
Reactivity:
Human, Mouse, Rat
Conjugate:
Unconjugated
Immunogen:
Recombinant protein (or fragment).This information is considered to be commercially sensitive.
Recommended starting concentration is 1 μg/mL. Please optimize the concentration based on your specific assay requirements.
Synonyms:
IFNLR, LICR2, IL28RA, CRF2/12, IL-28R1, IFNLR1
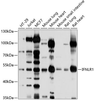
Positive Sample:
HT-29, Jurkat, MCF7, Mouse lung, Mouse heart, Mouse small intestine, Rat lung, Rat heart
Cellular Localization:
Membrane, Single-Pass Type I Membrane Protein.
Calculated MW:
58kDa
Observed MW:
53kDa
The protein encoded by this gene belongs to the class II cytokine receptor family. This protein forms a receptor complex with interleukine 10 receptor, beta (IL10RB). The receptor complex has been shown to interact with three closely related cytokines, including interleukin 28A (IL28A), interleukin 28B (IL28B), and interleukin 29 (IL29). The expression of all three cytokines can be induced by viral infection. The cells overexpressing this protein have been found to have enhanced responses to IL28A and IL29, but decreased response to IL28B. Three alternatively spliced transcript variants encoding distinct isoforms have been reported.
Purification Method
Affinity purification
Gene ID
163702
RRID
AB_2757606
Buffer Information
Store at -20℃. Avoid freeze / thaw cycles. Buffer: PBS containing 50% glycerol, preserved with proclin300 or sodium azide, pH 7.3.
Western blot analysis of various lysates using IFNLR1 Rabbit pAb (CAB10082) at 1:1000 dilution. Secondary antibody: HRP-conjugated Goat anti-Rabbit IgG (H+L) (CABS014) at 1:10000 dilution. Lysates/proteins: 25μg per lane. Blocking buffer: 3% nonfat dry milk in TBST. Detection: ECL Basic Kit (AbGn00020). Exposure time: 10s.