The IL36A Antibody (CAB8207) is a high-quality antibody developed for reliable detection and analysis of target proteins. The protein encoded by this gene is a cytokine that can activate NF-kappa-B and MAPK signaling pathways to generate an inflammatory response. The encoded protein functions primarily in skin and demonstrates increased expression in psoriasis. In addition, decreased expression of this gene has been linked to a poor prognosis in both hepatocellular carcinoma and colorectal cancer patients. RRID AB_2769958 Gene ID 27179 Swiss Prot Synonym FIL1; FIL1E; IL1F6; IL-1F6; IL1(EPSILON); FIL1(EPSILON); IL36A
This antibody is validated for use in WB, ELISA applications and has demonstrated reactivity against Human, Mouse, Rat samples.
Product Name:
IL36A Antibody
SKU:
CAB8207
Size:
100μL, 20μL
Reactivity:
Human, Mouse, Rat
Clone Number:
-
Conjugate:
Unconjugated
Immunogen:
Recombinant protein (or fragment).This information is considered to be commercially sensitive.
Tested Applications:
WBELISA
Recommended Dilution:
WB
1:500 - 1:2000
ELISA
Recommended starting concentration is 1 μg/mL. Please optimize the concentration based on your specific assay requirements.
The protein encoded by this gene is a cytokine that can activate NF-kappa-B and MAPK signaling pathways to generate an inflammatory response. The encoded protein functions primarily in skin and demonstrates increased expression in psoriasis. In addition, decreased expression of this gene has been linked to a poor prognosis in both hepatocellular carcinoma and colorectal cancer patients. RRID AB_2769958 Gene ID 27179 Swiss Prot Synonym FIL1; FIL1E; IL1F6; IL-1F6; IL1(EPSILON); FIL1(EPSILON); IL36A
Purification Method:
Affinity purification
Gene ID:
27179
RRID:
AB_2769958
Buffer Information:
Store at -20℃. Avoid freeze / thaw cycles. Buffer: PBS containing 50% glycerol, preserved with proclin300 or sodium azide, pH 7.3.
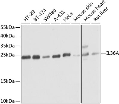
Western blot analysis of various lysates using IL36A Rabbit pAb (CAB8207) at 1:1000 dilution. Secondary antibody: HRP-conjugated Goat anti-Rabbit IgG (H+L) (AS014) at 1:10000 dilution. Lysates/proteins: 25μg per lane. Blocking buffer: 3% nonfat dry milk in TBST. Detection: ECL Basic Kit (AbGn00020). Exposure time: 30s.