The IL6R Antibody (CAB1570) is a high-quality antibody developed for reliable detection and analysis of target proteins. This rabbit-raised antibody is highly specific for human samples, making it ideal for Western blot applications. By binding to the IL6R protein, this antibody enables accurate detection and analysis in a variety of cell types, making it a key resource for studies in immunology and cancer research.IL6R is a crucial component of the IL6 signaling pathway, which plays a vital role in inflammation and immune response modulation.
This antibody is validated for use in WB, IHC-P, ELISA applications and has demonstrated reactivity against Human, Mouse, Rat samples.
Product Name:
IL6R Antibody
SKU:
CAB1570
Size:
20μL, 100μL
Reactivity:
Human, Mouse, Rat
Conjugate:
Unconjugated
Immunogen:
Recombinant protein (or fragment).This information is considered to be commercially sensitive.
Basolateral Cell Membrane, Secreted, Single-Pass Type I Membrane Protein.
Calculated MW:
52kDa
Observed MW:
70-100kDa
This gene encodes a subunit of the interleukin 6 (IL6) receptor complex. Interleukin 6 is a potent pleiotropic cytokine that regulates cell growth and differentiation and plays an important role in the immune response. The IL6 receptor is a protein complex consisting of this protein and interleukin 6 signal transducer (IL6ST/GP130/IL6-beta), a receptor subunit also shared by many other cytokines. Dysregulated production of IL6 and this receptor are implicated in the pathogenesis of many diseases, such as multiple myeloma, autoimmune diseases and prostate cancer. Alternatively spliced transcript variants encoding distinct isoforms have been identified in this gene. A pseudogene of this gene is found on chromosome 9.
Purification Method
Affinity purification
Gene ID
3570
RRID
AB_2763111
Buffer Information
Store at -20℃. Avoid freeze / thaw cycles. Buffer: PBS with 0.09% Sodium azide,50% glycerol,pH7.3.
Western blot analysis of lysates from THP-1 cells using IL6R Rabbit pAb (CAB1570) at 1:1000 dilution. Secondary antibody: HRP-conjugated Goat anti-Rabbit IgG (H+L) (CABS014) at 1:10000 dilution. Lysates/proteins: 25 μg per lane. Blocking buffer: 3% nonfat dry milk in TBST. Detection: ECL Basic Kit (AbGn00020). Exposure time: 10s.
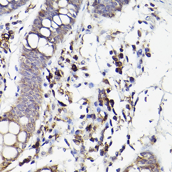
Immunohistochemistry analysis of paraffin-embedded Human colon using IL6R Rabbit pAb (CAB1570) at dilution of 1:50 (40x lens). High pressure antigen retrieval performed with 0.01M Citrate buffer (pH 6.0) prior to IHC staining.
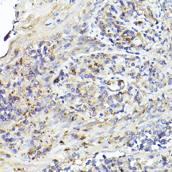
Immunohistochemistry analysis of paraffin-embedded Human tonsil using IL6R Rabbit pAb (CAB1570) at dilution of 1:50 (40x lens). High pressure antigen retrieval performed with 0.01M Citrate buffer (pH 6.0) prior to IHC staining.