The SERPINI1 Antibody (CAB15703) is a high-quality antibody developed for reliable detection and analysis of target proteins. This antibody, produced in rabbits, boasts high reactivity with human samples and has been validated for use in Western blot applications. By specifically binding to the SERPINA1 protein, researchers can accurately detect and analyze its expression in various cell types, making it an essential tool for studies in molecular biology and disease research.SERPINA1, also known as alpha-1 antitrypsin, is a key player in maintaining protease-antiprotease balance in the body, particularly in regulating inflammation and tissue damage.
This antibody is validated for use in WB, IHC-P, ELISA applications and has demonstrated reactivity against Mouse, Rat samples.
Product Name:
SERPINI1 Antibody
SKU:
CAB15703
Size:
20μL, 100μL
Reactivity:
Mouse, Rat
Conjugate:
Unconjugated
Immunogen:
Recombinant protein (or fragment).This information is considered to be commercially sensitive.
Recommended starting concentration is 1 μg/mL. Please optimize the concentration based on your specific assay requirements.
Synonyms:
PI12, HNS-S1, HNS-S2, neuroserpin, SERPINI1
Positive Sample:
Mouse brain, Rat brain
Cellular Localization:
Secreted.
Calculated MW:
46kDa
Observed MW:
46kDa
This gene encodes a member of the serpin superfamily of serine proteinase inhibitors. The protein is primarily secreted by axons in the brain, and preferentially reacts with and inhibits tissue-type plasminogen activator. It is thought to play a role in the regulation of axonal growth and the development of synaptic plasticity. Mutations in this gene result in familial encephalopathy with neuroserpin inclusion bodies (FENIB), which is a dominantly inherited form of familial encephalopathy and epilepsy characterized by the accumulation of mutant neuroserpin polymers. Multiple alternatively spliced variants, encoding the same protein, have been identified.
Purification Method
Affinity purification
Gene ID
5274
RRID
AB_2763115
Buffer Information
Store at -20℃. Avoid freeze / thaw cycles. Buffer: PBS with 0.01% thimerosal,50% glycerol,pH7.3.
Western blot analysis of various lysates using SERPINI1 Rabbit pAb (CAB15703) at 1:1000 dilution. Secondary antibody: HRP-conjugated Goat anti-Rabbit IgG (H+L) (CABS014) at 1:10000 dilution. Lysates/proteins: 25μg per lane. Blocking buffer: 3% nonfat dry milk in TBST. Detection: ECL Enhanced Kit (AbGn00021). Exposure time: 90s.
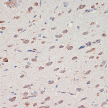
Immunohistochemistry analysis of paraffin-embedded Rat brain using SERPINI1 Rabbit pAb (CAB15703) at dilution of 1:200 (40x lens). Microwave antigen retrieval performed with 0.01M PBS Buffer (pH 7.2) prior to IHC staining.