The ILF3 Monoclonal Antibody (CAB8186) is a high-quality antibody developed for reliable detection and analysis of target proteins. This antibody, generated in rabbits, has been validated for use in immunofluorescence, immunohistochemistry, and Western blot applications with human samples.ILF3, also known as interleukin enhancer binding factor 3, is a key player in gene regulation and protein interactions within the cell. Its diverse functions make it a crucial target for investigations into gene expression, RNA metabolism, and cellular signaling pathways.
This antibody is validated for use in WB, IHC-P, ELISA applications and has demonstrated reactivity against Human, Mouse, Rat samples.
Product Name:
ILF3 Monoclonal Antibody
SKU:
CAB8186
Size:
20μL, 100μL
Reactivity:
Human, Mouse, Rat
Clone Number:
ARC1438
Conjugate:
Unconjugated
Immunogen:
Synthetic peptide. This information is considered to be commercially sensitive.
This gene encodes a double-stranded RNA (dsRNA) binding protein that complexes with other proteins, dsRNAs, small noncoding RNAs, and mRNAs to regulate gene expression and stabilize mRNAs. This protein (NF90, ILF3) forms a heterodimer with a 45 kDa transcription factor (NF45, ILF2) required for T-cell expression of interleukin 2. This complex has been shown to affect the redistribution of nuclear mRNA to the cytoplasm. Knockdown of NF45 or NF90 protein retards cell growth, possibly by inhibition of mRNA stabilization. In contrast, an isoform (NF110) of this gene that is predominantly restricted to the nucleus has only minor effects on cell growth when its levels are reduced. Alternative splicing results in multiple transcript variants encoding distinct isoforms.
Purification Method
Affinity purification
Gene ID
3609
RRID
AB_2863569
Buffer Information
Store at -20℃. Avoid freeze / thaw cycles. Buffer: PBS containing 50% glycerol and 0.05% BSA, preserved with proclin300 or sodium azide, pH 7.3.
Western blot analysis of various lysates using ILF3 Rabbit mAb (CAB8186) at 1:3000 dilution. Secondary antibody: HRP-conjugated Goat anti-Rabbit IgG (H+L) (CABS014) at 1:10000 dilution. Lysates/proteins: 25μg per lane. Blocking buffer: 3% nonfat dry milk in TBST. Detection: ECL Basic Kit (AbGn00020). Exposure time: 1s.
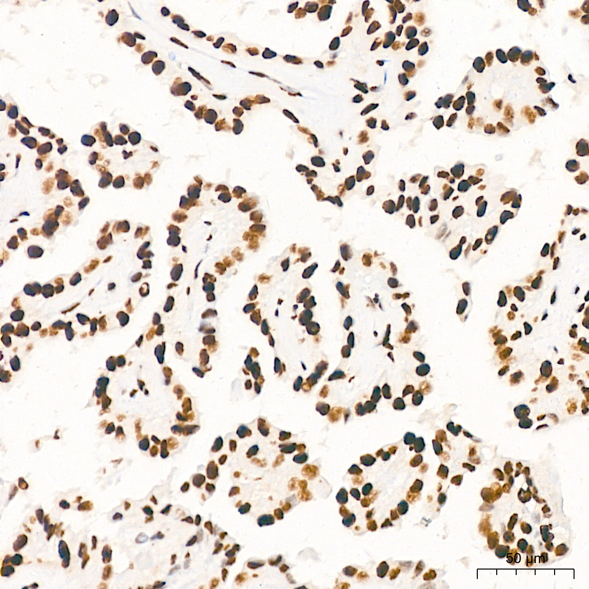
Immunohistochemistry analysis of paraffin-embedded Human colon carcinoma tissue using ILF3 Rabbit mAb (CAB8186) at a dilution of 1:200 (40x lens). High pressure antigen retrieval was performed with 0.01 M citrate buffer (pH 6.0) prior to IHC staining.
Immunohistochemistry analysis of paraffin-embedded Human cervix cancer tissue using ILF3 Rabbit mAb (CAB8186) at a dilution of 1:200 (40x lens). High pressure antigen retrieval was performed with 0.01 M citrate buffer (pH 6.0) prior to IHC staining.
Immunohistochemistry analysis of paraffin-embedded Human thyroid cancer tissue using ILF3 Rabbit mAb (CAB8186) at a dilution of 1:200 (40x lens). High pressure antigen retrieval was performed with 0.01 M citrate buffer (pH 6.0) prior to IHC staining.
Immunohistochemistry analysis of paraffin-embedded Mouse testis tissue using ILF3 Rabbit mAb (CAB8186) at a dilution of 1:200 (40x lens). High pressure antigen retrieval was performed with 0.01 M citrate buffer (pH 6.0) prior to IHC staining.
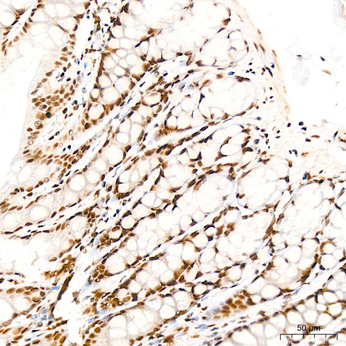
Immunohistochemistry analysis of paraffin-embedded Rat colon tissue using ILF3 Rabbit mAb (CAB8186) at a dilution of 1:200 (40x lens). High pressure antigen retrieval was performed with 0.01 M citrate buffer (pH 6.0) prior to IHC staining.
Immunohistochemistry analysis of paraffin-embedded Mouse colon tissue using ILF3 Rabbit mAb (CAB8186) at a dilution of 1:200 (40x lens). High pressure antigen retrieval was performed with 0.01 M citrate buffer (pH 6.0) prior to IHC staining.
Immunohistochemistry analysis of paraffin-embedded Human liver tissue using ILF3 Rabbit mAb (CAB8186) at a dilution of 1:200 (40x lens). High pressure antigen retrieval was performed with 0.01 M citrate buffer (pH 6.0) prior to IHC staining.
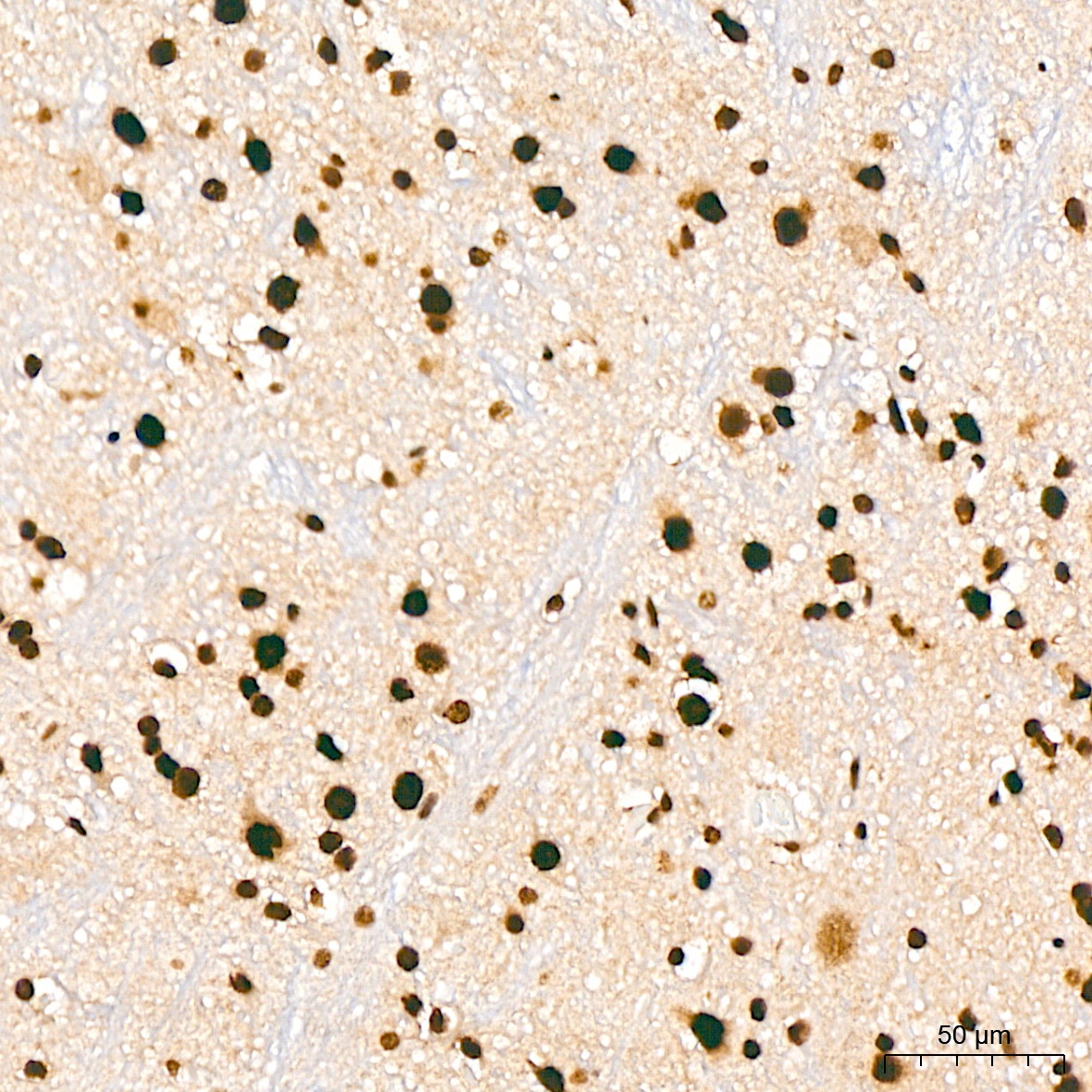
Immunohistochemistry analysis of paraffin-embedded Mouse brain tissue using ILF3 Rabbit mAb (CAB8186) at a dilution of 1:200 (40x lens). High pressure antigen retrieval was performed with 0.01 M citrate buffer (pH 6.0) prior to IHC staining.