The ILK Antibody (CAB0901) is a high-quality antibody developed for reliable detection and analysis of target proteins. This antibody, produced in rabbits, exhibits high specificity and sensitivity towards ILK in human samples, making it an ideal choice for Western blot applications. By targeting the ILK protein, this antibody enables accurate detection and analysis in various cell types, facilitating in-depth research in cell biology and cancer studies.ILK is a critical signaling molecule involved in multiple cellular processes, including cell survival, proliferation, and differentiation. Dysregulation of ILK has been implicated in various diseases, particularly cancer, where it promotes tumor growth and metastasis.
This antibody is validated for use in WB, IHC-P, ELISA applications and has demonstrated reactivity against Human, Mouse, Rat samples.
Product Name:
ILK Antibody
SKU:
CAB0901
Size:
20μL, 100μL
Reactivity:
Human, Mouse, Rat
Conjugate:
Unconjugated
Immunogen:
Recombinant protein (or fragment).This information is considered to be commercially sensitive.
This gene encodes a protein with a kinase-like domain and four ankyrin-like repeats. The encoded protein associates at the cell membrane with the cytoplasmic domain of beta integrins, where it regulates integrin-mediated signal transduction. Activity of this protein is important in the epithelial to mesenchymal transition, and over-expression of this gene is implicated in tumor growth and metastasis. Alternative splicing results in multiple transcript variants.
Purification Method
Affinity purification
Gene ID
3611
RRID
AB_2757451
Buffer Information
Store at -20℃. Avoid freeze / thaw cycles. Buffer: PBS containing 50% glycerol, preserved with proclin300 or sodium azide, pH 7.3.
Western blot analysis of various lysates using ILK Rabbit pAb (CAB0901) at 1:1000 dilution. Secondary antibody: HRP-conjugated Goat anti-Rabbit IgG (H+L) (CABS014) at 1:10000 dilution. Lysates/proteins: 25μg per lane. Blocking buffer: 3% nonfat dry milk in TBST.
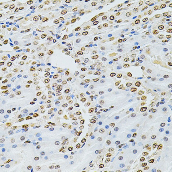
Immunohistochemistry analysis of paraffin-embedded Rat kidney using ILK Rabbit pAb (CAB0901) at dilution of 1:200 (40x lens). Microwave antigen retrieval performed with 0.01M PBS Buffer (pH 7.2) prior to IHC staining.