The IFNL1 Antibody (CAB8288) is a high-quality antibody developed for reliable detection and analysis of target proteins. This antibody, raised in rabbits, has high reactivity with human samples and has been validated for use in Western blot applications. By specifically binding to interferon lambda-1, this antibody enables accurate detection and analysis in a variety of cell types, making it ideal for research in virology and immunology.Interferon lambda-1 plays a crucial role in the innate immune response to viral infections, activating antiviral defenses to limit viral replication and spread.
This antibody is validated for use in WB, IHC-P, ELISA applications and has demonstrated reactivity against Human, Mouse, Rat samples.
Product Name:
IFNL1 Antibody
SKU:
CAB8288
Size:
20μL, 100μL
Reactivity:
Human, Mouse, Rat
Conjugate:
Unconjugated
Immunogen:
Recombinant protein (or fragment).This information is considered to be commercially sensitive.
Recommended starting concentration is 1 μg/mL. Please optimize the concentration based on your specific assay requirements.
Synonyms:
IL29, IL-29, IFNL1
Positive Sample:
293T, Jurkat
Cellular Localization:
Secreted.
Calculated MW:
22kDa
Observed MW:
22kDa
This gene encodes a cytokine distantly related to type I interferons and the IL-10 family. This gene, interleukin 28A (IL28A), and interleukin 28B (IL28B) are three closely related cytokine genes that form a cytokine gene cluster on a chromosomal region mapped to 19q13. Expression of the cytokines encoded by the three genes can be induced by viral infection. All three cytokines have been shown to interact with a heterodimeric class II cytokine receptor that consists of interleukin 10 receptor, beta (IL10RB) and interleukin 28 receptor, alpha (IL28RA).
Purification Method
Affinity purification
Gene ID
282618
RRID
AB_2769924
Buffer Information
Store at -20℃. Avoid freeze / thaw cycles. Buffer: PBS containing 50% glycerol, preserved with proclin300 or sodium azide, pH 7.3.
Western blot analysis of various lysates using IFNL1 Rabbit pAb (CAB8288) at 1:1000 dilution._Secondary antibody: HRP-conjugated Goat anti-Rabbit IgG (H+L) (CABS014) at 1:10000 dilution._Lysates/proteins: 25μg per lane._Blocking buffer: 3% nonfat dry milk in TBST._Detection: ECL Enhanced Kit (AbGn00021)._Exposure time: 20s.
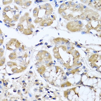
Immunohistochemistry analysis of paraffin-embedded Human stomach using IFNL1 Rabbit pAb (CAB8288) at dilution of 1:100 (40x lens). Microwave antigen retrieval performed with 0.01M PBS Buffer (pH 7.2) prior to IHC staining.