The IQGAP2 Antibody (CAB15392) is a high-quality antibody developed for reliable detection and analysis of target proteins. This gene encodes a member of the IQGAP family. The encoded protein contains three IQ domains, one calponin homology domain, one Ras-GAP domain and one WW domain. This protein interacts with components of the cytoskeleton, with cell adhesion molecules, and with several signaling molecules to regulate cell morphology and motility. It also acts as a tumor suppressor and has been found to play a role in regulating innate antiviral responses. Alternative splicing results in multiple transcript variants.
This antibody is validated for use in WB, IHC-P, ELISA applications and has demonstrated reactivity against Human, Mouse, Rat samples.
Product Name:
IQGAP2 Antibody
SKU:
CAB15392
Size:
100μL, 20μL
Reactivity:
Human, Mouse, Rat
Conjugate:
Unconjugated
Immunogen:
Recombinant protein (or fragment).This information is considered to be commercially sensitive.
Tested Applications:
WBIHC-PELISA
Recommended Dilution:
WB
1:200 - 1:2000
IHC-P
1:50 - 1:200
ELISA
Recommended starting concentration is 1 μg/mL. Please optimize the concentration based on your specific assay requirements.
This gene encodes a member of the IQGAP family. The encoded protein contains three IQ domains, one calponin homology domain, one Ras-GAP domain and one WW domain. This protein interacts with components of the cytoskeleton, with cell adhesion molecules, and with several signaling molecules to regulate cell morphology and motility. It also acts as a tumor suppressor and has been found to play a role in regulating innate antiviral responses. Alternative splicing results in multiple transcript variants.
Purification Method
Affinity purification
Gene ID
10788
RRID
AB_2762299
Buffer Information
Store at -20℃. Avoid freeze / thaw cycles. Buffer: PBS with 0.01% thimerosal,50% glycerol,pH7.3.
Western blot analysis of various lysates using IQGAP2 Rabbit pAb (CAB15392) at 1:1000 dilution. Secondary antibody: HRP-conjugated Goat anti-Rabbit IgG (H+L) (AS014) at 1:10000 dilution. Lysates/proteins: 25μg per lane. Blocking buffer: 3% nonfat dry milk in TBST. Detection: ECL Basic Kit (AbGn00020). Exposure time: 15s.
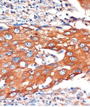
Immunohistochemistry analysis of paraffin-embedded Human breast cancer using IQGAP2 Rabbit pAb (CAB15392) at dilution of 1:100 (40x lens). Microwave antigen retrieval performed with 0.01M PBS Buffer (pH 7.2) prior to IHC staining.