The ISG15 Antibody (CAB1182) is a high-quality antibody developed for reliable detection and analysis of target proteins. This antibody, generated in rabbits, demonstrates high reactivity with human samples and has been validated for use in Western blot applications. By specifically binding to the ISG15 protein, researchers can effectively detect and analyze its expression in various cell types, making it an ideal choice for studies in immunology and virology research.ISG15 is a critical component of the interferon response pathway, playing a crucial role in the innate immune system's defense against viral infections.
This antibody is validated for use in WB, IHC-P, ELISA applications and has demonstrated reactivity against Human, Rat samples.
Product Name:
ISG15 Antibody
SKU:
CAB1182
Size:
20μL, 100μL
Reactivity:
Human, Rat
Conjugate:
Unconjugated
Immunogen:
Recombinant protein (or fragment).This information is considered to be commercially sensitive.
Recommended starting concentration is 1 μg/mL. Please optimize the concentration based on your specific assay requirements.
Synonyms:
G1P2, IP17, UCRP, IFI15, IMD38, hUCRP, ISG15
Positive Sample:
Jurkat treated with IFN-α
Cellular Localization:
Cytoplasm, Secreted.
Calculated MW:
18kDa
Observed MW:
15kDa
The protein encoded by this gene is a ubiquitin-like protein that is conjugated to intracellular target proteins upon activation by interferon-alpha and interferon-beta. Several functions have been ascribed to the encoded protein, including chemotactic activity towards neutrophils, direction of ligated target proteins to intermediate filaments, cell-to-cell signaling, and antiviral activity during viral infections. While conjugates of this protein have been found to be noncovalently attached to intermediate filaments, this protein is sometimes secreted.
Purification Method
Affinity purification
Gene ID
9636
RRID
AB_2758785
Buffer Information
Store at -20℃. Avoid freeze / thaw cycles. Buffer: PBS containing 50% glycerol, preserved with proclin300 or sodium azide, pH 7.3.
Western blot analysis of lysates from Jurkat cells, using ISG15 Rabbit pAb (CAB1182) at 1:1000 dilution. Jurkat cells were treated with IFN-α (100 ng/ml) at 37℃ for 30 minutes after serum-starvation overnight. Secondary antibody: HRP-conjugated Goat anti-Rabbit IgG (H+L) (CABS014) at 1:10000 dilution. Lysates/proteins: 25μg per lane. Blocking buffer: 3% nonfat dry milk in TBST. Detection: ECL Basic Kit (AbGn00020). Exposure time: 5s.
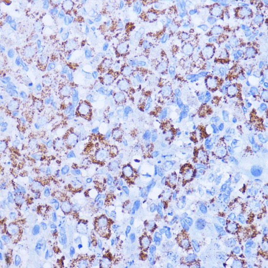
Immunohistochemistry analysis of paraffin-embedded Rat ovary using ISG15 Rabbit pAb (CAB1182) at dilution of 1:100 (40x lens). Microwave antigen retrieval performed with 0.01M PBS Buffer (pH 7.2) prior to IHC staining.