The ITIH3 Antibody (CAB9459) is a high-quality antibody developed for reliable detection and analysis of target proteins. This antibody, produced in rabbits, exhibits high reactivity with human samples and has been validated for use in Western blot applications. By specifically binding to the ITIH3 protein, this antibody enables researchers to detect and analyze ITIH3 expression in different cell types, making it a versatile tool for studies in biochemistry and molecular biology.
This antibody is validated for use in WB, ELISA applications and has demonstrated reactivity against Human, Mouse, Rat samples.
Product Name:
ITIH3 Antibody
SKU:
CAB9459
Size:
20μL, 100μL
Reactivity:
Human, Mouse, Rat
Conjugate:
Unconjugated
Immunogen:
Recombinant protein (or fragment).This information is considered to be commercially sensitive.
Recommended starting concentration is 1 μg/mL. Please optimize the concentration based on your specific assay requirements.
Synonyms:
H3P, SHAP, ITI-HC3, ITIH3
Positive Sample:
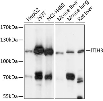
HepG2, 293T, NCI-H460, Mouse liver, Mouse lung, Rat liver
Cellular Localization:
Secreted.
Calculated MW:
100kDa
Observed MW:
105kDa
This gene encodes the heavy chain subunit of the pre-alpha-trypsin inhibitor complex. This complex may stabilize the extracellular matrix through its ability to bind hyaluronic acid. Polymorphisms of this gene may be associated with increased risk for schizophrenia and major depressive disorder. This gene is present in an inter-alpha-trypsin inhibitor family gene cluster on chromosome 3.
Purification Method
Affinity purification
Gene ID
3699
RRID
AB_2770014
Buffer Information
Store at -20℃. Avoid freeze / thaw cycles. Buffer: PBS with 0.01% thimerosal,50% glycerol,pH7.3.
Western blot analysis of various lysates using ITIH3 Rabbit pAb (CAB9459) at 1:3000 dilution. Secondary antibody: HRP-conjugated Goat anti-Rabbit IgG (H+L) (CABS014) at 1:10000 dilution. Lysates/proteins: 25μg per lane. Blocking buffer: 3% nonfat dry milk in TBST. Detection: ECL Basic Kit (AbGn00020). Exposure time: 30s.