The ITPK1 Antibody (CAB8312) is a high-quality antibody developed for reliable detection and analysis of target proteins. This antibody, produced in rabbits, is highly specific to human samples and has been validated for use in Western blot applications.The ITPK1 protein, also known as inositol-tetrakisphosphate 1-kinase, is involved in the regulation of inositol signaling pathways and has been linked to various diseases including cancer and neurological disorders.
This antibody is validated for use in WB, ELISA applications and has demonstrated reactivity against Human, Mouse, Rat samples.
Product Name:
ITPK1 Antibody
SKU:
CAB8312
Size:
20μL, 100μL
Reactivity:
Human, Mouse, Rat
Conjugate:
Unconjugated
Immunogen:
Recombinant protein (or fragment).This information is considered to be commercially sensitive.
Recommended starting concentration is 1 μg/mL. Please optimize the concentration based on your specific assay requirements.
Synonyms:
ITRPK1, ITPK1
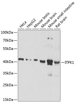
Positive Sample:
HeLa, HepG2, Mouse testis, Mouse brain, Mouse intestine, Rat brain
Cellular Localization:
Apical Plasma Membrane, Cytosol.
Calculated MW:
46kDa
Observed MW:
39kDa
This gene encodes an enzyme that belongs to the inositol 1,3,4-trisphosphate 5/6-kinase family. This enzyme regulates the synthesis of inositol tetraphosphate, and downstream products, inositol pentakisphosphate and inositol hexakisphosphate. Inositol metabolism plays a role in the development of the neural tube. Disruptions in this gene are thought to be associated with neural tube defects. A pseudogene of this gene has been identified on chromosome X.
Purification Method
Affinity purification
Gene ID
3705
RRID
AB_2770016
Buffer Information
Store at -20℃. Avoid freeze / thaw cycles. Buffer: PBS containing 50% glycerol, preserved with proclin300 or sodium azide, pH 7.3.
Western blot analysis of various lysates using ITPK1 Rabbit pAb (CAB8312) at 1:1000 dilution. Secondary antibody: HRP-conjugated Goat anti-Rabbit IgG (H+L) (CABS014) at 1:10000 dilution. Lysates/proteins: 25μg per lane. Blocking buffer: 3% nonfat dry milk in TBST. Detection: ECL Basic Kit (AbGn00020). Exposure time: 15s.