The JMJD8 Antibody (CAB10476) is a high-quality antibody developed for reliable detection and analysis of target proteins. This antibody, produced in rabbits, is highly specific for JMJD8 in human samples and is validated for use in various applications, including Western blotting. By binding to JMJD8, this antibody allows for accurate detection and analysis of JMJD8 levels in different cell types, making it an ideal choice for studies in molecular biology and cancer research.JMJD8, a member of the Jumonji domain-containing protein family, plays a vital role in chromatin remodeling and gene expression regulation.
This antibody is validated for use in WB, ELISA applications and has demonstrated reactivity against Human, Mouse, Rat samples.
Product Name:
JMJD8 Antibody
SKU:
CAB10476
Size:
20μL, 100μL
Reactivity:
Human, Mouse, Rat
Conjugate:
Unconjugated
Immunogen:
Recombinant protein (or fragment).This information is considered to be commercially sensitive.
Involved in several processes, including positive regulation of I-kappaB kinase/NF-kappaB signaling; positive regulation of sprouting angiogenesis; and regulation of glycolytic process. Located in endoplasmic reticulum lumen and nucleus.
Purification Method
Affinity purification
Gene ID
339123
RRID
AB_2758025
Buffer Information
Store at -20℃. Avoid freeze / thaw cycles. Buffer: PBS containing 50% glycerol, preserved with proclin300 or sodium azide, pH 7.3.
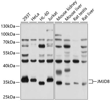
Western blot analysis of various lysates using JMJD8 Rabbit pAb (CAB10476) at 1:1000 dilution. Secondary antibody: HRP-conjugated Goat anti-Rabbit IgG (H+L) (CABS014) at 1:10000 dilution. Lysates/proteins: 25μg per lane. Blocking buffer: 3% nonfat dry milk in TBST. Detection: ECL Basic Kit (AbGn00020). Exposure time: 3s.