The KAP1/TRIM28 Monoclonal Antibody (CAB19568) is a high-quality antibody developed for reliable detection and analysis of target proteins. This antibody, generated in rabbits, shows high specificity and sensitivity towards human samples, making it suitable for a variety of research applications including Western blot analysis.KAP1, also known as KRAB-associated protein 1, is a transcriptional corepressor that plays a crucial role in regulating gene expression by modifying chromatin structure. Dysregulation of KAP1 has been linked to various diseases, including cancer and neurodegenerative disorders, highlighting its importance in biological processes.
This antibody is validated for use in WB, IHC-P, ELISA applications and has demonstrated reactivity against Human, Mouse, Rat samples.
Product Name:
KAP1/TRIM28 Monoclonal Antibody
SKU:
CAB19568
Size:
20μL, 100μL
Reactivity:
Human, Mouse, Rat
Clone Number:
ARC0047
Conjugate:
Unconjugated
Immunogen:
Synthetic peptide. This information is considered to be commercially sensitive.
The protein encoded by this gene mediates transcriptional control by interaction with the Kruppel-associated box repression domain found in many transcription factors. The protein localizes to the nucleus and is thought to associate with specific chromatin regions. The protein is a member of the tripartite motif family. This tripartite motif includes three zinc-binding domains, a RING, a B-box type 1 and a B-box type 2, and a coiled-coil region.
Purification Method
Affinity purification
Gene ID
10155
RRID
AB_2862673
Buffer Information
Store at -20℃. Avoid freeze / thaw cycles. Buffer: PBS containing 50% glycerol and 0.05% BSA, preserved with proclin300 or sodium azide, pH 7.3.
Western blot analysis of various lysates using KAP1/TRIM28 Rabbit mAb (CAB19568) at 1:1000 dilution. Secondary antibody: HRP-conjugated Goat anti-Rabbit IgG (H+L) (CABS014) at 1:10000 dilution. Lysates/proteins: 25μg per lane. Blocking buffer: 3% nonfat dry milk in TBST. Detection: ECL Basic Kit (AbGn00020). Exposure time: 10s.
Immunohistochemistry analysis of paraffin-embedded Human colon carcinoma tissue using KAP1/TRIM28 Rabbit mAb (CAB19568) at dilution of 1:200 (40x lens). High pressure antigen retrieval performed with 0.01M Citrate Buffer (pH 6.0) prior to IHC staining.
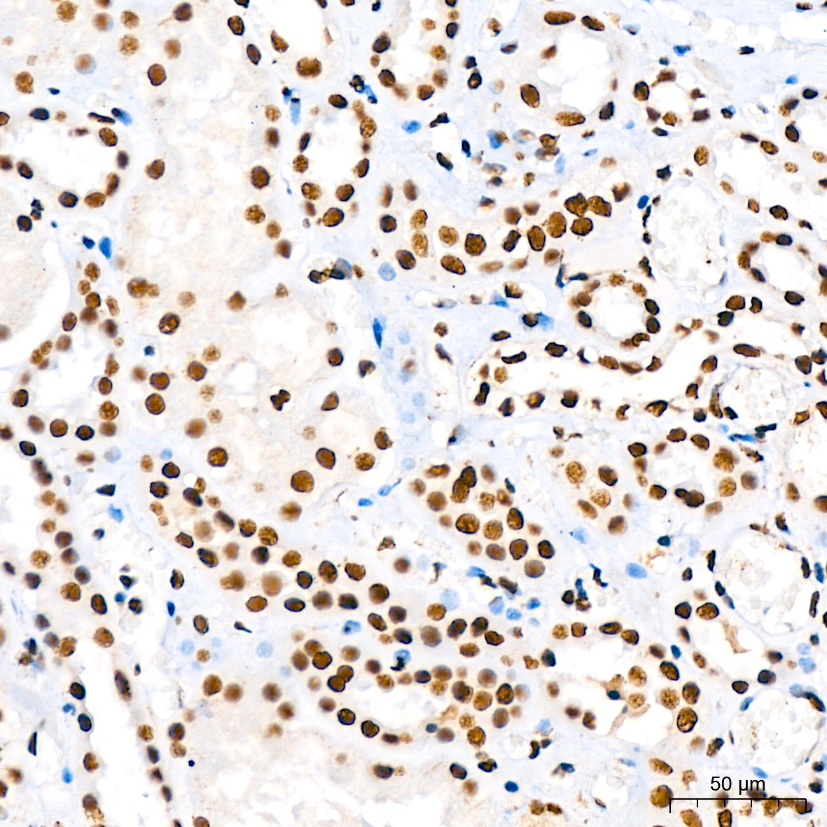
Immunohistochemistry analysis of paraffin-embedded Human kidney tissue using KAP1/TRIM28 Rabbit mAb (CAB19568) at dilution of 1:200 (40x lens). High pressure antigen retrieval performed with 0.01M Citrate Buffer (pH 6.0) prior to IHC staining.
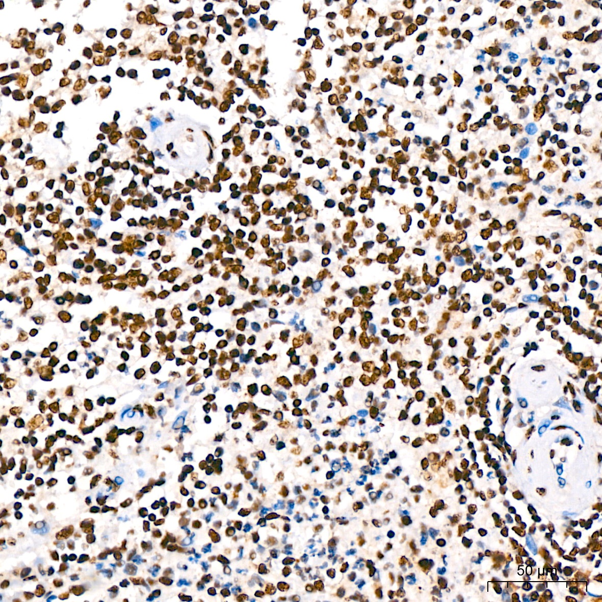
Immunohistochemistry analysis of paraffin-embedded Human spleen tissue using KAP1/TRIM28 Rabbit mAb (CAB19568) at dilution of 1:200 (40x lens). High pressure antigen retrieval performed with 0.01M Citrate Buffer (pH 6.0) prior to IHC staining.
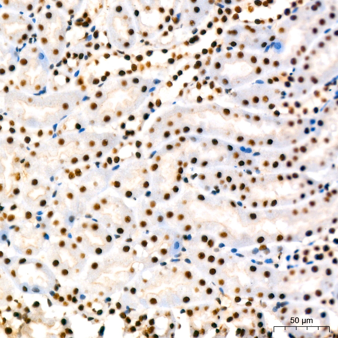
Immunohistochemistry analysis of paraffin-embedded Mouse kidney tissue using KAP1/TRIM28 Rabbit mAb (CAB19568) at dilution of 1:200 (40x lens). High pressure antigen retrieval performed with 0.01M Citrate Buffer (pH 6.0) prior to IHC staining.
Immunohistochemistry analysis of paraffin-embedded Mouse spleen tissue using KAP1/TRIM28 Rabbit mAb (CAB19568) at dilution of 1:200 (40x lens). High pressure antigen retrieval performed with 0.01M Citrate Buffer (pH 6.0) prior to IHC staining.