null
100% Quality Guarantee
PhD-Level Technical Support
Key Features

KCNH2 Rabbit Polyclonal Antibody (CAB2968)

SKU CAB2968
Product Type Antibody
Antibody Type Polyclonal Antibody
Reactivity Human, Mouse
Host Species Rabbit
Synonyms ERG1, HERG, LQT2, SQT1, ERG-1, H-ERG, HERG1, Kv11.1, KCNH2
Research Use Signal Transduction
€96 - €370
Global Shipping: 80+ Countries
White Glove Service: Available upon request
Batch Consistency: Contact Sales
Distributors: 60+ Countries

Description

system_update_altDatasheetsystem_update_altMSDS

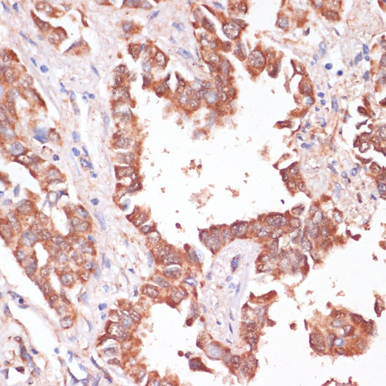
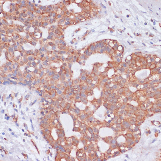
KCNH2 Antibody (CAB2968)

The KCNH2 Antibody (CAB2968) is a high-quality antibody developed for reliable detection and analysis of target proteins. This antibody, produced in rabbits, has been validated for use in various applications, including Western blot and immunohistochemistry.The hERG potassium channel plays a crucial role in the heart, regulating the repolarization of cardiac action potentials. Mutations in the KCNH2 gene can lead to Long QT Syndrome, a condition characterized by an increased risk of life-threatening arrhythmias. By using the KCNH2 Polyclonal Antibody, researchers can study the expression and localization of the hERG channel in different tissues and cell types, contributing to our understanding of cardiac function and potential therapeutic targets.

This antibody is validated for use in WB, IHC-P, ELISA, IF-P applications and has demonstrated reactivity against Human, Mouse samples.

0 Reviews

0
Based on 0 reviews

No reviews yet. Be the first to share your experience!

View AllClose