The KCNJ15 Antibody (CAB15282) is a high-quality antibody developed for reliable detection and analysis of target proteins. This antibody, raised in rabbits, exhibits high reactivity with human samples and is specifically validated for use in Western blot applications. By binding to the KCNJ15 protein, this antibody enables accurate detection and analysis in various cell types, making it an essential resource for studies in physiology and pharmacology.KCNJ15 plays a crucial role in maintaining potassium ion balance and regulating cellular excitability, making it a key player in processes such as cell signaling and neurotransmission.
This antibody is validated for use in WB, IHC-P, ELISA applications and has demonstrated reactivity against Human, Mouse, Rat samples.
Product Name:
KCNJ15 Antibody
SKU:
CAB15282
Size:
20μL, 100μL
Reactivity:
Human, Mouse, Rat
Conjugate:
Unconjugated
Immunogen:
Recombinant protein (or fragment).This information is considered to be commercially sensitive.
Recommended starting concentration is 1 μg/mL. Please optimize the concentration based on your specific assay requirements.
Synonyms:
IRKK, KIR1.3, KIR4.2, KCNJ15
Positive Sample:
293T, Mouse liver, Mouse kidney, Rat liver
Cellular Localization:
Membrane, Multi-Pass Membrane Protein.
Calculated MW:
43kDa
Observed MW:
35kDa
Potassium channels are present in most mammalian cells, where they participate in a wide range of physiologic responses. The protein encoded by this gene is an integral membrane protein and inward-rectifier type potassium channel. The encoded protein has a greater tendency to allow potassium to flow into a cell rather than out of a cell. Eight transcript variants encoding the same protein have been found for this gene.
Purification Method
Affinity purification
Gene ID
3772
RRID
AB_2762182
Buffer Information
Store at -20℃. Avoid freeze / thaw cycles. Buffer: PBS with 0.01% thimerosal,50% glycerol,pH7.3.
Western blot analysis of various lysates using KCNJ15 Rabbit pAb (CAB15282) at 1:1000 dilution. Secondary antibody: HRP-conjugated Goat anti-Rabbit IgG (H+L) (CABS014) at 1:10000 dilution. Lysates/proteins: 25μg per lane. Blocking buffer: 3% nonfat dry milk in TBST. Detection: ECL Basic Kit (AbGn00020). Exposure time: 1s.
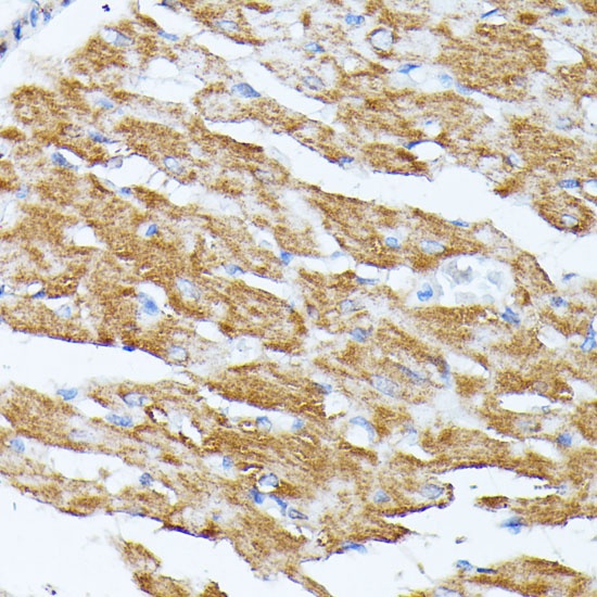
Immunohistochemistry analysis of paraffin-embedded Rat heart using KCNJ15 Rabbit pAb (CAB15282) at dilution of 1:100 (40x lens). Microwave antigen retrieval performed with 0.01M PBS Buffer (pH 7.2) prior to IHC staining.
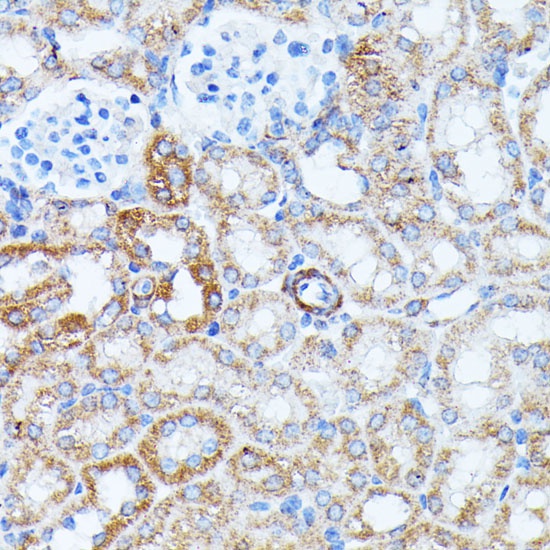
Immunohistochemistry analysis of paraffin-embedded Mouse kidney using KCNJ15 Rabbit pAb (CAB15282) at dilution of 1:100 (40x lens). Microwave antigen retrieval performed with 0.01M PBS Buffer (pH 7.2) prior to IHC staining.