null
100% Quality Guarantee
PhD-Level Technical Support
Key Features

KHDRBS2 Rabbit Polyclonal Antibody (CAB6102)

SKU CAB6102
Product Type Antibody
Antibody Type Polyclonal Antibody
Reactivity Human, Mouse
Host Species Rabbit
Synonyms SLM1, SLM-1, KHDRBS2
Research Use Epigenetics and Nuclear Signaling
€96 - €370
Global Shipping: 80+ Countries
White Glove Service: Available upon request
Batch Consistency: Contact Sales
Distributors: 60+ Countries

Description

system_update_altDatasheetsystem_update_altMSDS

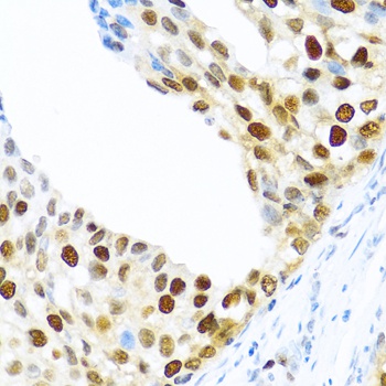
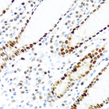
KHDRBS2 Antibody (CAB6102)

The KHDRBS2 Antibody (CAB6102) is a high-quality antibody developed for reliable detection and analysis of target proteins. This antibody, generated in rabbits, demonstrates high specificity and sensitivity in detecting KHDRBS2 in human samples, making it suitable for various research applications, including Western blot analysis.KHDRBS2, also known as Sam68, plays a crucial role in post-transcriptional gene regulation and alternative splicing, impacting diverse cellular processes such as cell proliferation, apoptosis, and tumorigenesis.

This antibody is validated for use in WB, IHC-P, ELISA applications and has demonstrated reactivity against Human, Mouse samples.

0 Reviews

0
Based on 0 reviews

No reviews yet. Be the first to share your experience!

View AllClose